“다리 양쪽이 다 마비가 왔어요. 힘도 빠지고 감각도 없었어요. 누가 꼬집어도 모르고 하체가 막 돌을 달고 다니는 느낌이었어요. 종아리가 쑤시기 시작하면 쭉쭉쭉 허벅지 있는 데가 시리기 시작해요. 다리가 시리고 저리고 아프고 3일 정도도 못 일어나 본 적이 있어요. 퇴행성 디스크와 협착은 있지만 신경을 누를 정도로 심하지는 않다고 하니까 답답한 거죠.”
이 환자분의 MRI를 보면서 먼저 설명 드린 후 환자분의 이야기를 더 자세히 들어보겠습니다. 이 환자분의 증상은 허리가 아프면서 양쪽 다리가 감각마비가 올 정도로 심하게 저리고 걷지도 못할 정도로 아픈 겁니다.

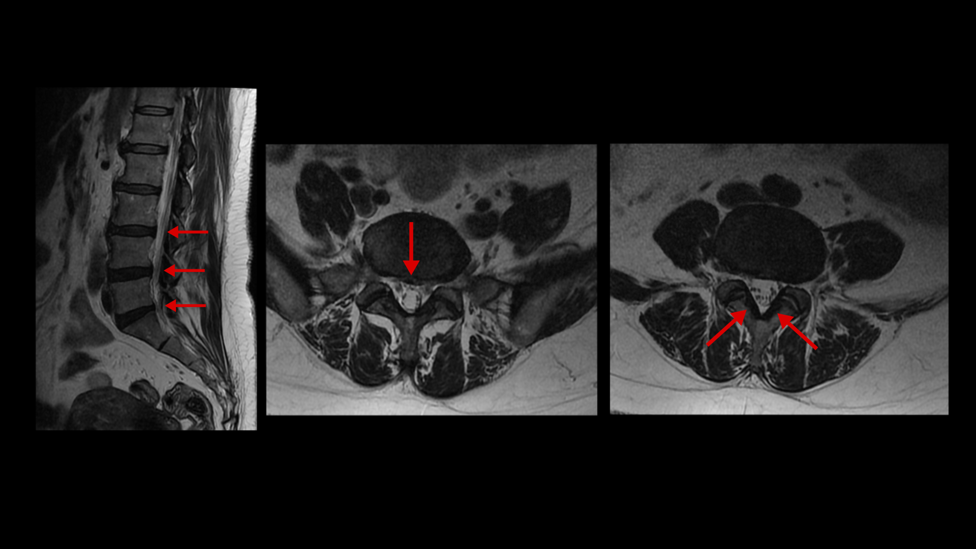
이분 MRI를 보면 퇴행성 변화가 있기는 합니다.

퇴행성 디스크와 디스크 돌출이 있고 황색인대의 비후도 있지만 신경을 심하게 누르는 게 보이지 않기 때문에 양쪽 다리에 감각마비가 올 정도의 심한 신경학적 증상을 일으키기는 어렵다고 봅니다. MRI와 이 환자의 증상이 일치하지 않는 겁니다. 이 환자분의 극심한 증상을 MRI로 설명할 수가 없는 겁니다.
날씨만 안 좋아도 아예 일어서지를 못하셨다고 합니다. 이분처럼 허리와 다리가 저리고 아픈데 MRI에 퇴행성 디스크나 협착이 조금이라도 보이면 거의 대부분 디스크나 협착으로 진단하고 그것을 치료하게 됩니다. 그런데 이분 MRI에서 보시다시피 양쪽 다리에 심한 신경학적 증상을 일으킬만한 병변이 보이지 않습니다. 그래서 반드시 증상과 MRI가 일치하는지 꼼꼼하게 확인하는 게 필요합니다. 진단이 잘못되면 증상의 원인이 아닌 협착증이나 디스크 치료를 한다고 시간만 낭비하고 오랫동안 고생 하기 쉽습니다.
이분은 제대로 진단받기까지 여러 다른 질환으로 잘못 진단되어 2년 가까이 고생하셨습니다. 2년 전 처음 증상은 발뒤꿈치가 아프면서 시작되었고 서울의 한 대학병원에서 족저근막염으로 진단받고 치료받았고 나중에 무릎으로 통증이 올라가니까 무릎관절염으로 진단받고 치료받았습니다. 환자분 말씀에는 없지만 미국의 한 병원에서는 하지정맥류로 진단받고 치료도 했지만 모두 다 효과가 없었습니다.
치료받고 효과가 없으니까 할 수 없이 진통제만 1년 이상 계속 드시는 겁니다. 결국 허리까지 아프고 양쪽 다리가 다 아파오니까 큰일이 났다고 생각하고 저희 모커리를 물어보고 찾아서 오신 겁니다. 우선 이 환자분의 얘기를 직접 들어보겠습니다.
허리가 너무 아팠어요. 허리가 묵직해서 아프니까 다리가 양쪽이 다 마비가 와서 보행이 불편했어요. 계단을 못 올라갔어요. 저희 집이 2층 집인데 남편이 1인용 엘리베이터를 놔야 겠다고 그럴 정도로 2층 올라가는 게 굉장히 힘들었어요.
처음 발바닥부터 아프기 시작했어요. 오른쪽 뒤꿈치 한쪽만 그랬는데 대학병원 정형외과를 갔더니 거기서는 족저근막염이라고 하시고, 그 다음 이제 무릎으로 올라가니까 무릎은 퇴행성 관절염이다라고 하더라고요. 신발을 좋은 거 신어야 되니까 신발을 맞추자고 하셨어요. 그리고 조금 더 심해지면 무릎 연골 넣는 수술을 하자고 했어요.
나이가 드니까 퇴행성 질환이라고만 해서 약만 먹었어요. 그리고 이제 한국 나올 때마다 가서 약 먹고 미국에 들어가고 그랬는데 아무래도 그렇게 해서는 이게 답이 안 나오겠더라고요. 진통제를 참 많이 먹었어요. 그런데 보통 허리 아프거나 이런 근육 아프신 분들은 다 그러신 것 같아요. 그냥 다 진통제 먹고 견디고. 이런 병들은 이렇게 아픈 게 계속 숙달이 되면 그 고통에 만연해져서 그냥 지내요.
이제 다리 두 쪽이 아프니까 ‘이거 큰일이다’ 했어요. 제가 미국에 있으니까 잘 몰랐는데 창원에 사는 친구에게 물었더니 친구가 모커리에서 치료를 받았다고 얘기를 하더라고요. 거기가 좋더라 그래서 모커리를 추천 받고 방문하게 됐어요. 저는 절박성이 있으니까 고친다고 생각하고 왔습니다.
이 환자분 이야기 잘 들으셨나요? 그럼 이분의 통증의 진짜 원인은 무엇일까요? 저희는 근육성 좌골신경통 또는 근육성 방사통으로 진단합니다. 허리와 골반 근육이 뭉치고 약해지면서 굳고 일상의 부담으로부터의 충격을 흡수하지 못하면 다리근육들에 충격이 전가되면 이 환자분처럼 다리가 저리고 시리고 아프고 심지어는 마비감까지 생기고 발끝까지 저리다고 하시는 분들이 많습니다.
이런 근육성 좌골신경통이나 방사통은 따로 영상 검사로 진단할 수 있는 방법이 없습니다. 오로지 손으로 근육을 만져봐야만 알 수 있습니다. 그런데 허리와 엉덩이, 다리가 저리고 아픈데 MRI를 찍어봐도 원인을 알 수 없거나 MRI와 증상이 일치하지 않으면 여러 가지 특이한 진단을 받고 검사를 받게 됩니다. 하지정맥류, 이상근증후군, 천장관절증후군, 디스크내장증, 족저근막염, 심부둔부증후군, 하지불안증후군, 강직성척추염, 류마티스 질환 등 여러 가지 진단명을 받고 검사를 받는데도 잘 치료가 안 되고 정확한 원인을 모른다면 반드시 근육 문제를 의심해 볼 필요가 있습니다.
당연히 이분의 근육을 초진 시에 만져 봤을 때 등 근육부터 허리, 엉덩이, 다리까지 모든 근육이 심하게 뭉쳐있고 아픈 상태였습니다. 이렇게 수년에 걸쳐서 뭉치고 아픈 근육들은 침 치료나 도수치료를 한번 받는다고 쉽게 풀리지가 않습니다. 오히려 잘 안 풀린다고 강도를 높여서 뭉친 근육을 서둘려 풀려고 하다가는 환자가 더 아플 확률도 높습니다. 입원치료를 하면서 하루에도 5회 이상 다양한 근육 재활 치료를 병행하며 치료받고 쉬고 치료받고 쉬고 치료받고 쉬고를 반복하면서 치료 효과를 누적시켜나가야 합니다. 이렇게 매일매일 1~2주 이상 근육을 충분히 풀어주어야 풀릴 수 있습니다. 뭉치고 아픈 근육이 풀리고 나면 통증은 많이 줄어들게 됩니다. 이렇게 통증이 줄어들면 약 2주 동안 추가로 재활 운동을 통해 근육 기능을 보강시켜나가면 근육재활치료가 완성되는 것입니다.
그럼 환자분의 근육재활치료 결과는 어떻게 되었을까요? 얼마나 빨리 어느 정도까지 좋아질 수 있을까요? 다리의 마비감은 다 사라질 수 있을까요? 날씨만 흐려도 일어서지를 못해 하루 종일 누워 계셨다는데 그런 증상도 다 사라지셨을까요? 이 환자분의 치료 결과가 궁금하시다면 아래 영상을 꼭 보시길 바랍니다.
모커리 좌골신경통 ABCDE 한·양방 협진 재활치료법은 수술 없이 좌골신경통을 치료하는 모커리고유의 비수술 치료방법입니다. 좌골신경통 통증의 원인이 되는 근육을 정확하게 찾아낸 후 ABCDE 좌골신경통 비수술 치료법으로 치료하고 있습니다.

보다 많은 환자분들과 건강정보를 공유하고자 개방형 게시판으로 건강상담을 운영하고 있습니다. 목과 허리 통증•디스크•협착증•교통사고•어깨•무릎 등 궁금하신 질문을 남겨주시면 전문의가 최대한 자세하게 답변 드립니다.
| 제목 | |||||||||
|---|---|---|---|---|---|---|---|---|---|
|
|||||||||
|
|||||||||
|
|||||||||
|
|||||||||