“허리에 안 좋은 걸 많이 했더라고요. 그러면서 디스크가 더 찢어지고 안 좋게 됐던 것 같아요. 오른쪽 다리까지 아프면서 마비까지 오게 된 거죠. 발등을 손으로 만지면 내 피부가 아닌 느낌, 또 운동마비 족하수가 있었는데 오른쪽 발목에 힘이 빠지다 보니까 오른쪽 발 뒤꿈치로 서는 게 안 되는 거예요. 아예 걷지도 못하고 앉기도 힘들고 서 있는 것도 안 되고 큰 병원 가서 MRI를 찍었어요. 선생님이 보시고 디스크 많이 터져 나갔고 마비가 있는 거라 100이면 100 다 수술이라고 나사 박으라고 하더라고요”
먼저 이분 MRI 보면서 더 자세히 설명드린 후, 왜 이분처럼 심하게 파열된 디스크일수록 오히려 치료가 더 쉽고 잘 되는지 말씀 드리겠습니다.
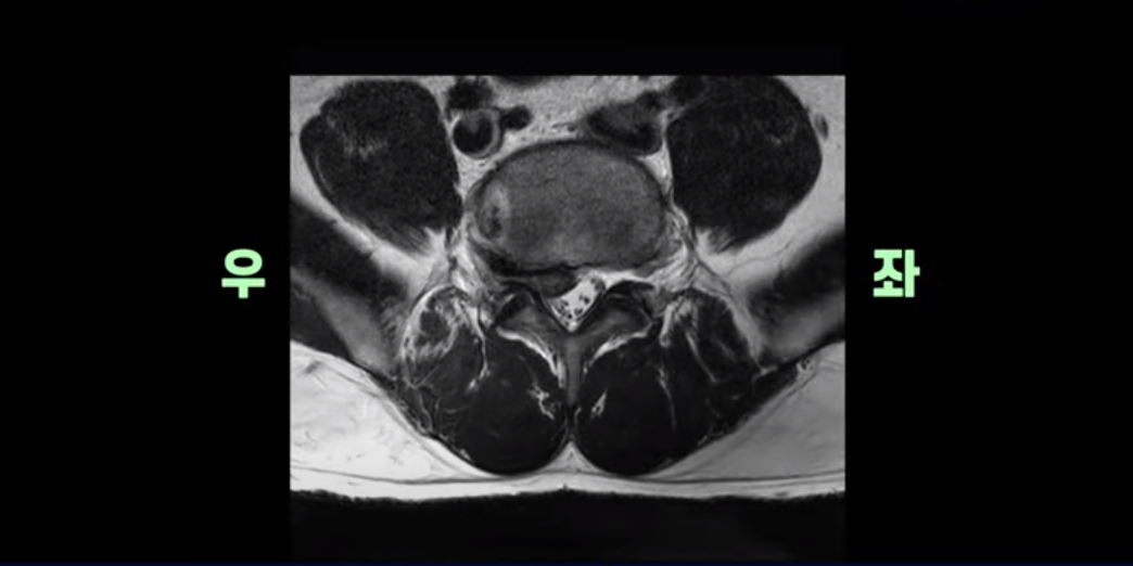
MRI를 보면 이분 5번 1번 디스크가 심하게 터져서 밀려 올라가 있습니다.
횡단면을 보면 우리 병원 치료 후기에 있는 다른 디스크 파열 환자분들에 비해서는 파열이 덜 심해 보일 수도 있지만,
이분은 파열이 오른쪽으로 치우쳐 신경이 빠져나가는 추간공을 완전히 막고 있습니다.
다른 신경 구멍들은 열려있는데 비해 5번 1번 구멍은 까맣게 막혀있습니다.
이렇게 심하게 신경가지가 눌리니까 극심한 통증은 당연하고 발목에 마비가 생겨 힘이 빠지는 족하수 증상까지 생겼습니다.
그런데 저희가 디스크 파열이 심하면 심할수록 치료가 잘 된다고 말씀 드리는 이유 첫 번째는 디스크가 심하게 터질수록 흡수가 더 잘 되기 때문입니다. 심하게 밀려나온 디스크 수핵은 우리 몸에서 이물질로 인식되기 때문에 우리 몸의 면역시스템이 녹여서 없애버립니다. 그래서 디스크 파열이 심하면 심할수록 흡수가 더 잘 됩니다.
두 번째, 디스크가 심하게 터진 분들은 거의 대부분 통증이 너무 심하고, 또 이분처럼 족하수 같은 마비증상까지 있기 때문에 모든 일상생활을 즉시 다 포기합니다. 출근할 생각도 하지 않고, 학생이라면 공부할 생각도 하지 않습니다. 일단은 너무 아프기 때문에 무조건 누워서 쉬면서 입원치료를 받아야겠다고 생각합니다. 이분은 경찰공무원이신데 직장에서 동의해주셔서 입원치료가 가능했습니다. 이렇게 입원해서 누워서 쉬면서 치료받기 때문에 회복이 가능한 겁니다. 그런데 파열이 심하지 않아 조금 덜 아픈 환자들 또는 신경주사 맞거나 진통제 먹고 어느 정도 통증을 버틸 수 있는 분들은 이전에 하던 일상생활을 그대로 지속합니다. 디스크가 찢어졌는데도 출근하고 등교해서 하루 종일 앉아있고, 서서 걸어 다니고, 허리를 구부렸다 폈다 합니다.
이게 어떤 거랑 같냐면, 우리 손에 찢어진 상처가 났다고 가정해보세요. 칼에 손을 베이거나 했을 때 손상이 회복되지 않을까 봐 걱정하는 사람은 없습니다. 시간이 지나면 찢어진 상처가 붙고 다시 회복되게 되어 있습니다. 그런데 디스크가 파열됐는데도 일하러 가고, 공부하러 가고, 아픈 허리와 다리를 붙잡고 앉아있고 서 있는 것은 손에 찢어진 상처를 가만히 놔두지 않고 날마다 그 찢어진 상처를 손가락으로 다리 벌리고 문지르고 누르고 있는 것과 같습니다. 그러면 상처가 치료가 되겠습니까? 당연히 손상이 회복되지 않겠죠. 신경에 염증이 있는데 여기를 계속 자극하는 것이기 때문에 한 달 정도면 가라앉아야 할 염증이 가라앉질 않는 겁니다.
이 과정에서 어떤 일이 생기냐면, 방사통이 심한 분들은 자꾸 안 아픈 자세를 찾으려고 하다 보니까 대부분 몸이 다 틀어져버립니다. 이렇게 몸이 다 틀어져버리면 디스크 손상으로부터 잘 회복되지 않습니다. 흡수돼야 될 디스크도 잘 흡수되지 않고, 가라앉아야 될 염증도 잘 가라앉지 않습니다. 그래서 오히려 디스크가 심하게 터져서 일상생활을 포기하고 누워서 쉬면서 치료받는 환자분들이 그렇지 않은 사람보다 치료가 더 쉽고 빠르다고 말씀 드리는 겁니다.
그러면 이분 얘기 조금 더 들어보고 이런 심한 디스크 파열의 치료는 구체적으로 어떻게 하는지, 얼마나 빨리 좋아질 수 있는지 자세히 설명 드리겠습니다.
20살 때 아팠으니까 한 20년 넘게 아팠죠. 처음에 허리 아픈 건 20살 때 체대 입시 학원 다니면서 그때 운동 많이 하고 허리 아파도 참고 지내다가 이제 일하면서 한 27살 때 허리가 디스크 증상이 심해지면서 경찰병원 가서 CT 찍고 디스크라고 그래서 뼈 주사 허리에 맞고 나아졌어요. 그리고 또 4~5년에 한 번씩 이제 허리가 아픈 거예요.
10월 달부터 허리가 약간 뻐근하면서 다리가 좀 당기면서 허리 숙이고 스트레칭 이런 거를 많이 했어요. 그 당시에는 모르고 했었는데 나중에 보니까 허리 안 좋은 거를 많이 했더라고요. 그러면서 디스크가 더 찢어지고 안 좋게 됐던 것 같아요. 그때는 허리만 아팠는데 이번에는 방사통이랑 오른쪽 다리까지 아프면서 마비까지 오게 된 거죠.
제 친구가 지압원 되게 좋다는 거예요. 잘 풀어준다는 거예요. 허리가 안 좋아질 것 같아서 지압원을 가서 받았는데 그때 어디 특정 부위 누르니까 오른쪽 발등이 많이 아팠었거든요. 그때 발등 엄청 아팠었는데 참고 받았어요. 받고 나서 발등의 피부 감각이 이상하네 이러고 지나갔죠. 점점 상태가 안 좋아지더라고요.
100m 걸으면 쪼그려 앉았다가 스트레칭하고 다시 걷는 정도였다가 이제 종아리 쪽이 이제 막 터질 것 같은 느낌이 오면서 점점 증상이 심해지면서 이제는 아예 걷지도 못하고 앉기도 힘들고 서 있는 것도 안 되고 그런 상태까지 온 거죠. 잠을 못 잤죠. 왜냐하면 자세가 움직이면 아프니까 잠을 못 잤죠. 점점 증상이 하루하루하루 가면서 안 좋아졌었어요.
처음에는 제 발목이 이 상태인지도 몰라봤죠. 허리 디스크 찾아보니까 감각마비랑 운동마비가 있다. 감각마비는 제가 발등을 손으로 만지거나 발로 하면 느낌이 이상하죠. 피부 감각이 느낌이 되게 안 좋은 느낌이거든요. 내 피부가 아닌 느낌 마취한 것 같은 느낌이니까. 그리고 샤워할 때 물로 닿아도 느낌이 이상하거든요. 또 운동마비 중에 족하수가 있다. 발 뒤꿈치로 드는 게 안 되고 이런 걸 제가 해보니까 까치발은 되는데 앞꿈치를 들고 발 뒤꿈치로 서는 게 오른 발이 안 되는 거예요. 그리고 걸을 때 좀 쩔뚝거리는 느낌을 받았어요. 오른쪽 발목에 힘이 빠지다 보니까 걸으면 쩔뚝거리는 것처럼 보이더라고요. 저 스스로도 느끼고 집사람이 볼 때도 오빠가 좀 쩔뚝거리는 것 같다. 그래서 그때 알았죠. 운동마비도 왔구나. 발 뒤꿈치를 바닥에 대면 왼발은 이 정도 올라가면 오른발은 새끼 발가락 쪽이 아예 힘이 안 들어가는 거예요. 그래서 이 정도 들었다가 오른쪽은 아예 안 올라가고 떨어졌죠.
이번에 통증의학과 갔을 때 허리에다가 신경주사 한 번 맞고 나서 통증이 안 잡히는 거예요. 3일 있다가 한번 더 맞았는데 두 번째 맞고도 통증이 안 잡히고 더 심해지는 거예요. 부천에 OO병원 크니까 거기 가서 MRI를 찍었어요. 선생님이 보시고 설명을 자세하게 해주지는 않고 디스크 많이 터져 나갔고 마비도 있는 거라 수술해야 된다고 나사를 박는다고 하더라고요. OO병원에서는 이건 백이면 백 다 수술이라고 나사 박으라고 하더라고요. 마비가 왔으니까.
애초부터 수술은 하기가 싫더라고요. 수술한다고 100%가 좋아지는 게 아니고 또 부작용도 있고 또 새로 아픈 경우가 있다고 해서 수술은 애초에 생각 안 했어요.
유튜브 알고리즘으로 모커리한방병원이 나왔는데 여기 환자분들이 직접 병원에서 입원해서 치료 받으면서 좋아진 사례를 말씀하시잖아요. 환자분들이 직접 인터뷰 하는 게 되게 신뢰가 많이 가더라고요. 수술은 하기 싫고 치료는 하긴 해야 되는데 그래서 여기 모커리를 한번 찾아와 가지고 원장님을 뵀어요.
원장님이 제 상태를 MRI 보시고 설명을 친절하게 해주시더라고요. 저는 운동하면 좋아지는 줄 알고 많이 걷고 이랬는데 지금 상태가 그럴 상태가 아니고 안정 취하면서 입원치료 해야 된다. 또 MRI 보면서 이렇게 터진 부위 설명 해주시니까 직접 설명 들으니까 상태가 심각하구나. 입원하는 거를 가족이랑 상의해서 결정을 해야 되겠구나. 또 직장도 빠지면 남은 직원들도 힘들어지고 그래도 치료는 해야 되겠더라고요. 원장님이 입원하면 좋아진다고 하니까 그래서 원장님 말씀 믿고 입원하게 됐죠. 한 달 입원하는 게 쉽지가 않거든요.
집사람이나 가족이 말리지 않고 직원분들이 이 한방병원을 잘 모르고 이게 마비가 온 건데 침 맞고 좋아질 수 있을까 이런 말씀을 하시더라고요. 저는 유튜브 이 환자분들 치료후기 보고 환자분들이 여기 방송 나와서 거짓말하고 그러지는 않을 거 아니에요 한두 분이 아니니까. 그래서 거기서 이제 신뢰 많이 얻고 왔죠. 저는 의심은 안 하고 그냥 제 상태가 지금 심각하구나, 입원하면서 치료받아야 되겠구나 이런 생각 했었어요. 한방치료 받고 나서 안 좋아지면 어떡하지 이런 생각은 안 하고 그냥 제 상태 심각하니까 안정 취하면서 치료받아야지 이 생각으로 했습니다.
이분 말씀 잘 들으셨습니까? 방사통이 심해서 앉고 서고 걷는 게 다 안 되고 발목에 마비증상까지 있으셨는데 이런 분들이 당연히 일상생활이 안 되니까 비수술 치료를 하려면 무조건 입원치료를 받아야 합니다. 입원해서 반드시 누워서 쉬어줘야 합니다. 또 이런 분들은 너무나도 심하게 아프기 때문에 주변 근육이 다 뭉치고 굳어버리고 뒤틀리게 됩니다.
그러면 입원해서 어떤 치료를 받을까요? 허리주변의 뭉치고 뒤틀리고 방사통으로 아픈 근육들을 침, 약침, 봉침, 추나요법, 도수치료, 물리치료, 운동치료 등 근육에 할 수 있는 거의 모든 치료를 총동원해서 하루에도 4~5번씩 풀어주고 쉬고, 풀어주고 쉬고, 풀어주고 쉬고를 반복합니다. 이런 집중적이고 반복적인 치료를 통해 뭉치고 굳은 근육을 풀어줘서 몸이 틀어지지 않도록 해주고 그렇게 치료를 하다 보면 한 달 정도 지나면 염증은 자연스럽게 가라 앉고 찢어진 디스크는 회복될 가능성이 매우 높습니다. 마비증상도 디스크가 조금씩 흡수되기 시작하면서 좋아질 가능성이 매우 높습니다.
저희 모커리한방병원에서는 이런 치료를 매번 하고 있기 때문에 저희에게는 너무나 자연스러운 과정이지만 환자를 한 달씩 지켜보면서 근육재활치료를 해보지 않으면 디스크 파열 회복과정이 이렇게 이루어진다는 걸 일반인은 물론 수술하는 의사들도 알 수가 없습니다. 원래 디스크라는 질환은 손상입니다. 손상은 시간이 지나면 우리 몸에서 무조건 복구되게 되어 있습니다. 저희 치료라는 건 이런 손상된 디스크가 잘 회복될 수 있도록 도와주는 겁니다. 디스크가 회복되는 과정에서 이 상처가 계속 재손상을 받고 근육이 심하게 뭉치면서 몸이 틀어져버리고 그런 과정에서 염증이 만성화 되지 않도록 입원치료를 통해 눕혀놓고 쉬면서 뭉친 근육들을 풀어주는 치료를 반복하는 겁니다. 그럼 이분의 치료 결과는 어떻게 됐을까요? 약 한 달 동안 입원치료를 받으셨는데 통증이 너무 심해서 앉고 서고 걷는 게 다 힘들 정도였는데 4주 만에 통증이 좋아져서 일상생활로 복귀할 수 있었을까요? 또 마비증상도 호전되었을까요? 이분의 치료 후 결과가 궁금하시다면 아래 영상을 꼭 보시길 바랍니다.
모커리 허리디스크 ABCDE 한·양방 협진 재활치료법은 수술 없이 허리디스크를 치료하는 모커리 고유의 비수술 치료방법입니다. 디스크 통증은 물론 수술을 권유 받을 정도의 마비와 힘 빠짐을 동반한 디스크 파열 등의 중증 허리디스크를 수술 없이 ABCDE 허리디스크 비수술 치료법으로 치료하고 있습니다. 모커리는 심하게 파열된 허리디스크 뿐 아니라 수술 후 재발한 허리디스크, 척추유합술 후 재발한 허리디스크 등의 어려운 척추 질환을 비수술로 치료하고 있으며, 이러한 ABCDE 치료법의 효과를 과학적, 객관적으로 검증하여 해외 유명학회 및 학술지 등에 지속적으로 발표하고 있습니다.

보다 많은 환자분들과 건강정보를 공유하고자 개방형 게시판으로 건강상담을 운영하고 있습니다. 목과 허리 통증•디스크•협착증•교통사고•어깨•무릎 등 궁금하신 질문을 남겨주시면 전문의가 최대한 자세하게 답변 드립니다.
| 제목 | |||||||||
|---|---|---|---|---|---|---|---|---|---|
|
|||||||||
|
|||||||||
|
|||||||||
|
|||||||||