갑자기 목이 엄청 아파서 시골에 가까운 정형외과를 갔는데 X-ray 사진을 찍어보더니 서울에 큰 병원에 한번 가보시라고 목에 이상이 있는 것 같다고 하셨어요. OOOO 대학병원에 전화를 했더니 예약을 잡아줘서 가게 됐죠. 가서 MRI 찍고 교수님이 MRI 같이 보면서 목에 디스크가 생겼으니 수술하든지 해야 된다고 하더라고요. 근데 부연설명은 없었죠. 교수님이 일방적으로 저한테 통보식으로 설명을 하니까 또 처음이라서 뭘 물어봐야 할지도 모르고 그래서 그냥 그 얘기가 맞는 가보다라고 생각하고 나왔죠. 뭐 물어봐야 할지도 몰라서 못 물어보고
그 전에 설명하는 단계가 아무 것도 없었고 그냥 수술하자고 했어요. 그래서 수술 날짜를 9월 10일로 잡았어요. 그때 오라고. 그러면서 OOOO 대학병원에도 진통제 한 달치를 지어주더라고요. 나와서 막상 생각해보니까 겁이 나기도 했어요.
움직이지도 못할 정도로 목이 아파서 목도 못 움직이고 디스크가 나와서 의사 말로는 신경을 누르고 있어서 왼쪽 어깨, 팔을 쓰지 못했죠. 거의 움직이지도 못하고 일상생활에 불편이 엄청 많았죠. 꼬집는 것처럼 견갑골도 아파서 움직이지 못할 정도였어요. 이쪽 팔이 아예 안 접힐 정도로. 미치겠더라고요.
수술 날짜가 한 달 후에 잡힌 거예요. 나는 당장 엄청 아픈데. 그래서 가까운 친구한테 내가 이렇게 아프다 그랬더니 여기 모커리 한번 가봐라 추천해줘서 오게 됐어요. 처음에 모커리 와서 상담하면서 원장님께서 2주 정도면 나을 것 같고 2주 정도 치료해보자고 그래서 알겠다고 했어요. 어차피 수술 날짜 전까지는 다른 방법이 없잖아요. 반신반의 했어요. 왜냐하면 뼈가 이상이 있어서 수술을 해야 된다고 OOOO 대학병원에서 들었는데 보통 우리가 상식적으로 생각하면 한방치료는 침으로 치료하는 건데 어떻게 뼈를 안 건드리고 나을까 그런 생각이 들었어요. 수술 날짜 잡은 거는 9월 10일이고 당장 아파서 죽겠는데 좀 더 심하게 표현하자면 밑져야 본전이니까 그래서 병원에 입원했죠.
특히 한방병원, 한의원에는 관심이 하나도 없었어요. 믿지도 않고. 옛날처럼 한약 지어주고 그런 줄만 알았죠. 반신반의 했어요. 가족들 특히 큰 딸은 모커리가 더 낫겠냐고, 수술을 해야 되는 거 아니냐고 그랬어요.
이분 말씀 잘 들으셨습니까? 이분 MRI를 보면서 먼저 이분 상태에 대해 설명 드린 후 목디스크나 목 협착증이 왜 허리디스크나 허리 협착증에 비해 치료가 훨씬 쉬운지, 왜 치료 기간도 훨씬 짧은지, 왜 대부분 통원 치료가 가능한지 등을 설명해 드리겠습니다. 그리고 구체적으로 목 치료는 어떻게 하는 건지도 자세히 설명해 드리겠습니다.
우선 이분 증상은 좌측 어깨와 팔 통증입니다. 이분 MRI를 보면 5번 6번과 6번 7번이 안 좋아 보입니다.
5번 6번에는 오른쪽과 왼쪽 모두 디스크 파열이 있고,
6번 7번에는 왼쪽으로 디스크가 밀려 나와 있습니다.
왼쪽으로 신경이 빠져나가는 추간공을 보면 보시다시피 5번 6번과 6번 7번 신경 구멍이 아래나 위에 비해 막혀있는 게 보입니다.
디스크도 밀려 나와 있고 협착도 있는 겁니다.
이분 왼쪽 어깨와 팔 통증이 갑자기 생긴 이유는 5번 6번 디스크 또는 6번 7번 디스크가 갑자기 밀려 나온 것이 원인일 것으로 보이는데, 그럼 이 디스크들이 밀려 나와서 신경을 자극하거나 누르는데 어떻게 이게 수술 없이도 좋아질 수 있는 걸까요?
저희가 디스크라는 질환은 여러 영상을 통해 우리 몸의 찢어진 손상이며 그에 관련된 염증성 통증이라고 설명하면서 시간이 지나면 손상은 자연치유 되며, 최적화된 조건 하에서 이런 목디스크의 염증은 2주 정도, 허리디스크는 4주 정도면 대부분 가라앉는다고 말씀 드렸습니다. 그래서 목디스크가 허리디스크보다 치료가 쉽고 빠르다고 얘기하는 것이며, 목디스크 입원 치료 기간이 평균 2주이며 허리디스크가 4주입니다. 또 허리디스크는 대부분 입원 치료를 해야 하지만 목디스크는 대부분 통원 치료가 가능합니다.
목디스크 치료가 더 쉽고 빠른 이유는 허리디스크에 비해 상대적으로 밀려 나오는 디스크 수핵의 절대 양도 작고 따라서 신경에 일으키는 염증도 덜 심합니다. 그래서 치료 기간도 짧고 더 쉬운 겁니다.
또 목은 머리만 받치고 있기 때문에 상반신 전체의 무게를 지탱하는 허리에 비해 압력을 훨씬 더 적게 받습니다. 그래서 신경 눌림도 일반적으로 허리보다 덜하니까 목 치료가 더 쉬운 겁니다. 그리고 허리는 누워있지 않고 걸어 다니고 앉아 있고 허리를 구부렸다 폈다 하면 디스크와 신경이 지속적인 손상과 자극을 받기 때문에 가만히 누워서 쉬면 4주 정도면 자연적으로 가라앉아야 할 염증이 가라앉지 않고 좋아져야 할 통증이 좋아지지 않고 오래가게 됩니다. 하지만 목은 목을 구부리지만 않으면 특별히 목디스크가 손상 받거나 신경이 자극 받을 만한 게 없기 때문에 염증이 가라앉기 쉬운 겁니다.
그럼 시간이 지나면 염증이 자연적으로 가라앉고 좋아진다면서 무슨 치료를 한다는 걸까요? 실제로 이상적인 상태에서 목디스크의 추가적인 손상만 없도록 목 구부리는 것만 하지 않고 즉 거북목 자세만 하지 않고 있으면 2-3주 이내에 염증이 가라앉으면서 방사통이 사라지겠지만 현실적으로는 거의 대부분의 목디스크 환자는 목의 커브가 이미 다 일자목, 거북목 형태로 변형이 되어 있고 따라서 목 주변 근육이 심하게 뭉치고 굳어있습니다.
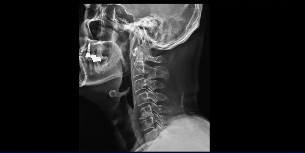
이분 목 x-ray를 보시면 일자목이고 이런 목 형태에서는 목 주변 근육이 만성적으로 뭉치고 굳어 있을 수밖에 없습니다.
이런 일자목, 거북목 형태의 목은, 특히 목 앞쪽의 근육들이 더 많이 뭉치고 단축되는데 그러면 목뼈들을 계속 잡아당기니까 신경 눌림이 더 심해질 수밖에 없습니다. 그러니까 이렇게 근육들이 뭉치고 굳어있고 단축된 상태에서는 잘 쉬면서 2주가 지나도 염증이 잘 가라앉지 않는 겁니다.
그래서 이런 뭉치고 굳어있는 목 근육 특히 목 앞쪽 근육들을 집중적으로 침, 약침, 봉침, 이완 추나요법, 도수치료 등으로 반복해서 풀어주면 신경 눌림이 줄어들면서 디스크 통증이 더 쉽게 사라지는 겁니다. 그런데 목 근육은 허리 근육에 비해 크기들도 작고 구조도 단순해서 뭉친 걸 풀어주기가 훨씬 쉽습니다. 그래서 목디스크 치료가 훨씬 더 쉬운 겁니다. 이게 잘 안 믿기시죠? 그래서 이런 치료 후기를 매주 찍어서 올리고 있는 겁니다. 이분은 거주하시는 곳이 병원과 멀어서 통원 치료가 어려워 부득이하게 10일 동안 입원 치료를 받으셨는데요. 그럼 이분의 열흘 입원 치료 결과는 어떻게 됐을까요? 이분의 치료 후 결과가 궁금하시다면 아래 영상을 꼭 보시길 바랍니다.
모커리 목디스크 ABCDE 복합치료법은 수술 없이 목디스크를 치료하는 모커리 고유의 비수술 치료방법입니다. 초기 목디스크는 물론 수술을 권유 받을 정도의 힘 빠짐이나 마비를 동반한 중증 목디스크까지 ABCDE 목디스크 비수술 치료법으로 치료하고 있습니다. 모커리는 일반적으로 목디스크가 허리디스크보다 비수술치료로 더 쉽고 빠르게 치료된다는 것을 연구하여 학술대회 등에 지속적으로 발표하고 있습니다.

보다 많은 환자분들과 건강정보를 공유하고자 개방형 게시판으로 건강상담을 운영하고 있습니다. 목과 허리 통증•디스크•협착증•교통사고•어깨•무릎 등 궁금하신 질문을 남겨주시면 전문의가 최대한 자세하게 답변 드립니다.
| 제목 | |||||||||
|---|---|---|---|---|---|---|---|---|---|
|
|||||||||
|
|||||||||
|
|||||||||
|
|||||||||