“다리 쪽이 저리고 종아리가 터질 것 같고 그래서 걸음을 한 다섯 발자국을 못 걸었어요. 그냥 이렇게 다리를 절면서 걸어요. 다리를 절고 조금 가다가 엎드려서 쉬었다가 또 조금 가다가 엎드려 쉬었다가 주사 많이 맞았어요. 근데 효과가 없었어요. 시술을 네 번 했습니다. 시술을 이미 네 번씩이나 했는데 해도 차도가 없어요. 치료를 이제 그만 하고 싶더라고요. 그래서 포기를 했어요. 양방 병원 가서는 치료가 안 된다 그러니까 맨날 울면서 힘들어서 극단적인 생각도 많이 하고”
먼저 이분 MRI를 보면서 설명 드린 후 어떻게 이런 신경이 눌리는 환자분이 수술 없이 치료가 될 수 있는지, 왜 수술 없이도 협착증이 좋아질 수 있는지, 근육재활치료와 운동은 어떻게 하는 건지 자세히 설명 드리겠습니다.
이분은 허리부터 다리, 복숭아뼈까지 극심하게 저리고 아픈 분입니다. MRI를 보시면 허리 4마디가 안 좋습니다.
그중에서도 3번 4번과 4번 5번 마디가 가장 안 좋습니다. 보시다시피 두 마디에 심한 중심성 협착이 있습니다.
이렇게 허리에서 신경이 눌리니까 다리가 저리고 종아리가 터질 듯이 아픕니다. 그래서 걷지를 못하고 가다 쉬고 가다 쉬고 그런 겁니다. 그런데 이런 분들이 수술 없이 치료가 가능한 이유는 근육재활치료와 운동으로 근육이 좋아지면 허리를 더 잘 지탱해 주니까 신경이 덜 눌리게 되는 겁니다. 모든 협착증 환자는 신경 구멍도 좁아져 있지만 근육도 다 망가져 있습니다.
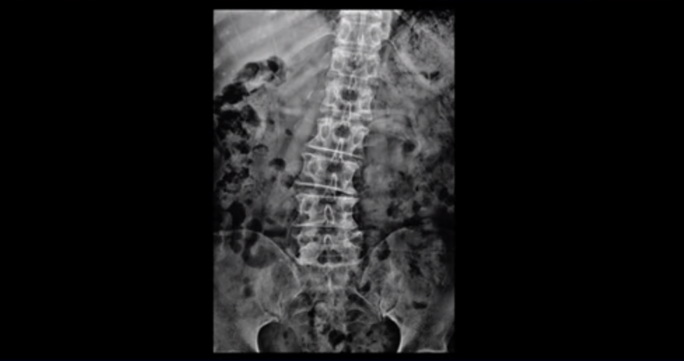
이분 X-ray를 보시면 허리가 이렇게 심하게 휘어 있습니다.
근육들이 다 약해지고 망가져서 척추를 잘 지지하지 못하니 이렇게 심하게 척추가 휘어지는 겁니다. 이렇게 근육이 안 좋으면 신경이 더 눌립니다. 이렇게 망가진 근육이 근육재활치료와 운동으로 좋아지면 허리를 더 잘 지탱하게 되니까 신경이 덜 눌립니다. 즉 협착증이 좋아지는 겁니다. 그럼 이런 근육재활치료와 운동은 어떻게 하는 걸까요? 이분 말씀 조금 더 들어본 후에 근육재활치료 모커리 ABCDE 치료법은 어떻게 하는 건지 자세히 설명 드리겠습니다.
허리가 많이 뻐근하면서 다리 쪽이 저리고 종아리가 터질 것 같고 그래서 걸음을 한 다섯 발자국을 못 걸었어요. 통증이 엄청 심했어요. 이쪽으로 허리 골반에서 허벅지부터 쭉 타고 내려가면서 전기 오듯이 찌릿찌릿하는 느낌이 엄청 심했습니다.
그냥 이렇게 다리를 절면서 걸어요. 절고 걸으면 종아리가 너무 당기고 터질 것 같아서 계속 조금 가다가 엎드려서 쉬었다가 또 조금 가다가 엎드려 쉬었다가 그렇게 억지로라도 걸으면 좋은 줄 알고 아파도 쉬어가면서 계속 걸었어요. 밖에 좀 나갔다 종아리가 너무 터질 것 같아요. 저희 집이 주택 2층인데 계단 올라갈 때는 네 발로 다녔어요. 앉을 때도 많이 힘들었어요. 화장실 갈 때는 기어서 가고 볼일 다 보면 남편이 와서 저를 잡고 방에 눕혀주고 그랬어요.
못 잤어요. 진통제 먹고 남편한테 얼음팩 가져다 달라고 해서 몇 개씩 다리에 말았어요. 잘 때는 너무 아프니까 추워도 얼음팩을 했어요. 얼음팩을 다리에 감은 채로 잠들곤 했어요. 통증이 너무 심하니까 진통제를 먹어도 안 들어요. 그래서 얼음팩을 항상 냉동실에 채워 놓고 저녁에는 그걸 다리에 감고 잤어요.
한 4~5년 전부터 허리가 아팠어요. 그래서 가까운 정형외과에 가면 그냥 주사 맞고 그렇게 하다가 점점 많이 아파졌어요. 주사 많이 맞았어요. 근데 효과가 없었어요.
제가 양방 병원에 엄청 많이 다녔어요. 지인들이 부산에 어떤 정형외과가 잘 한다고 하면 거기를 다 찾아 다녔어요. 정형외과에서 하는 소리가 그냥 계속 시술을 많이 권하더라고요. 시술을 네 번 했습니다. 시술을 이미 네 번씩이나 했는데 해도 차도가 없어요. 시술을 하고 나면 통증이 종아리까지 시원해야 되는데 시술을 하고 나도 종아리는 똑같이 터질 것처럼 아팠어요. 네 번씩이나 시술을 했는데도 왜 아프냐고 하면 시술을 한 번 더 하라고 계속 그 말을 반복해서 이제 그만하고 싶더라고요. 그래서 포기를 했어요. 양방 병원 가서 치료가 안 된다. 극단적인 생각으로 이렇게 아파서 걷지도 못하고 이렇게 있을 바에 내가 그냥 없어져야 되겠다 그런 생각까지 했어요. 그러니까 맨날 울면서 힘들어서 극단적인 생각도 많이 하고 심하게 아픈지는 한 2년 된 것 같아요. 통증이 심할 때 시술하고 통증 주사 맞고 그렇게 하면서 2년을 보냈어요.
가는 병원마다 다 수술하라고 하시더라고요. 어떤 병원은 조금 더 있다가 해도 되고 또 어떤 병원은 바로 해야 된다고 하고 나사 박자는 병원도 있고 안 하는 병원에서는 내시경 하듯이 뚫어서 한다고 들었습니다.
저희 남편은 양방이고 한방이고 허리에 대해서 책도 많이 사서 엄청 공부를 많이 했어요. 제가 몇 년을 아프니까. 남편이 인터넷을 엄청 많이 찾아보고 모커리한방병원이 딱 맞는 것 같으니까 무조건 한 번만 갔다 와라. 모커리한방병원이 엄청 마음에 와 닿았대요. 그래서 꼭 모커리로 보내야겠다 해서 저한테 계속 톡으로 모커리 운동법을 가르쳐 주는데 제 생각에는 한방병원에서 침을 놔서 어떻게 낫겠냐, 양방 병원에 가서 째고 꿰매야 낫지 한방은 절대 안 믿었어요. 남편이 ‘모커리에서 제 증상보다 더 힘든 병도 고치는데 무조건 모커리 한 번만 가라’ 저를 설득하는데 두 달이 흘렀어요. 그러니까 한번 가보고 아니다 싶으면 이틀이나 3일만에 나와라 이렇게 얘기했었어요. 남편이 쓸데 없는 말하거나 거짓말 하는 사람이 아니거든요. 그래서 믿어보자 하고 그렇게 모커리에 왔어요. 오기 전에 긴가민가하고 계속 병원을 두루두루 살피고 선생님들 약력 읽어보고 입원해야 되나 말아야 되나 많이 망설였어요. 제가 모커리에 전화를 4번 하고 왔거든요. 상담을 많이 해봤어요.
서울에 사는 아들이 ‘한방은 치료가 안 되는데 왜 한방을 원했냐’ 그래서 엄마도 그렇게 말했는데 아버지가 모커리가 너무 믿음이 간다고 한 번 가보고 아니면 오라고 해서 엄마가 떠밀리듯이 왔다, 엄마가 허리 아픈 지가 오래 됐고 양방치료도 많이 해봤는데 한방치료는 한 번도 안 해봤으니까 반신반의 하는 마음으로 모커리에 오게 됐다고 했어요.
이 환자분처럼 신경이 눌려있는데 어떻게 수술하지 않고 협착증을 치료할 수 있는지 설명 드리겠습니다. 저희가 계속 반복해서 말씀 드리지만, 협착증 증상이 생기고 악화되는 이유는 신경 구멍이 노화로 좁아져서만 그런 게 아닙니다. 나이가 들면서 반드시 근육도 동시에 나빠지기 때문입니다. 신경 구멍이 좁아져 있는 상태에서 근육은 줄어들고 망가지면서 허리를 잘 지지하지 못하니까 신경이 더 눌리는 것입니다. 그러니까 협착증이 주로 60세 나이 든 사람들한테 생기는 것입니다.
그런데도 아직도 많은 분들이 근육의 중요성을 모르고 신경치료만 하고 있습니다. 하지만 근육과 신경은 떼놓고 생각할 수가 없습니다. 근육이 나빠지면 신경 눌림이 심해져서 협착증 증상이 더 악화되고, 또 신경이 많이 눌릴수록 근육도 더 빨리 나빠집니다. 반대로 근육이 좋아지면 신경 눌림이 줄어들고 협착증이 좋아집니다. 신경이 눌린다고 하니까 신경 눌림을 풀어주는 수술만 생각을 하시는 분들이 많은데 근육이 좋아져서 허리를 잘 지지해주면 신경이 덜 눌립니다. 그래서 저희 모커리한방병원은 근육을 좋게 만들기 위해 협착증에 근육재활치료를 하고 있는 겁니다. 근육이 좋아지면 협착증은 반드시 좋아집니다.
그렇다면 이 근육을 좋게 해주는 치료는 어떻게 할까요? 모커리한방병원에서는 근육을 좋게 만들기 위해 한방, 양방을 통틀어 근육에 관련된 할 수 있는 거의 모든 치료를 다 합니다. 침, 약침, 봉침, 이완추나, 근육의 피로를 풀어주는 한약, 도수치료, 물리치료, 운동치료까지 여러분이 일상적으로 받고 계신 치료가 대부분 다 근육을 치료하는 겁니다.
그런데 협착증이라는 건 최소 5년에서 길게는 10년, 20년 이렇게 오랫동안 근육이 줄어들고 약해지고 문제가 생기면서 발생하는 것이기 때문에 근육치료를 몇 번 딱 받는다고 해서 이런 오래된 근육 문제가 바로 해결되는 것이 아니고, 따라서 증상이 하루아침에 좋아지지는 않습니다. 그래서 통원치료를 통해 협착증을 치료하는 게 어려운 겁니다.
그래서 저희 모커리한방병원에서는 입원집중치료를 통해 하루에도 4번~5번 허리 주변 근육을 치료하고 쉬고 치료하고 쉬고 치료하고 쉬고를 2주~4주 정도 반복합니다. 이런 집중적이고 반복적인 협착증 근육재활치료를 우리는 모커리 ABCDE 협착증 치료법이라고 부릅니다. 이런 집중된 반복치료를 통해 근육 상태가 좀 좋아지면 운동도 시작하게 됩니다. 그런데 운동도 무리한 근력 운동은 오히려 증상을 더 악화시키기 때문에 가벼운 운동이지만 근육의 기능을 살려주는 운동인 누워서 하는 운동과 실내 걷기운동 등을 주로 하셔야 됩니다. 이 운동에 대해 관심 있는 분들은 아래 영상을 보시길 바랍니다.
이렇게 입원해서 치료하고 쉬고 운동하고, 치료하고 쉬고 운동하고를 매일매일 2주~4주 정도 계속 반복해서 근육 상태가 좋아지면, 허리를 더 잘 지탱해 주니까 협착증 증상이 훨씬 더 좋아지게 됩니다. 이 환자분의 4주 입원 근육재활치료 결과는 어떻게 됐을까요? 이분의 치료 후 결과가 궁금하시다면 아래 영상을 꼭 보시길 바랍니다.
모커리 척추관협착증 ABCDE 한·양방 협진 재활치료법은 수술 없이 협착증을 치료하는 모커리 고유의 비수술 치료방법입니다. 한쪽 다리의 통증만 있는 초기 협착증부터 다리에 힘이 빠지고 몇 걸음 걷지 못하는 말기 협착증까지 ABCDE 척추관협착증 비수술 치료법으로 치료하고 있습니다. 모커리는 수준 높은 임상연구를 통하여 말기 협착증 환자가 ABCDE 재활치료로 통증 없이 걷는 거리가 11배 증가했다는 것을 과학적으로 객관적으로 증명하여 국제학술지에 논문을 발표했습니다.

보다 많은 환자분들과 건강정보를 공유하고자 개방형 게시판으로 건강상담을 운영하고 있습니다. 목과 허리 통증•디스크•협착증•교통사고•어깨•무릎 등 궁금하신 질문을 남겨주시면 전문의가 최대한 자세하게 답변 드립니다.
| 제목 | |||||||||
|---|---|---|---|---|---|---|---|---|---|
|
|||||||||
|
|||||||||
|
|||||||||
|
|||||||||