“목 4, 5번 한 마디 유합술 했거든요. MRI상으로는 목디스크, 협착이 같이 있고 전반적으로 안 좋은 데가 많이 있대요. 통증이 팔, 어깨, 등쪽, 목, 허리까지 다리도 다 저리고 저는 유합술을 받으면 치료가 다 될 줄 알았죠. 근데 유합술 받고 나서 다시 통증이 시작되면서 수술하고 더 안 좋아진 케이스죠. 수술한 병원에서 하신 얘기들은 수술은 잘 됐다는 거예요. 근데 수술이 잘 됐으면 뭐 하나라도 좋아진 게 있어야죠. 좋아진 게 없고 오히려 덤으로 수술 전에 100가지 증상이 있었으면 수술 후에 101가지 증상을 가지고 나왔잖아요. 수술하고 나서 계속 어깨를 짓누르는 것 감각 이상 특히 견갑, 목, 어깨 그쪽 뼈마디가 시린 증상, 아린 증상, 수술 후에 팔이 안 올라갔어요. 대학병원부터 개인병원 잘 보는 데 세 군데를 가니까 또 수술을 권유하더라고요. 그런데 목디스크 수술을 하고 좋아진 게 없기 때문에 또 수술을 하는 것은 바보 같더라고요”
MRI상으로는 목디스크, 협착이 같이 있는 전반적으로 안 좋은 데가 많이 있는 상황이었거든요. 통증이 팔, 어깨, 등쪽, 목, 그 다음에 허리까지 다리도 다 저리고 시리고 또 감각 이상 목, 어깨 통증 전신에 통증이 다 있었는데 병원에서 수술 권유를 하더라고요. 제 생각에도 통증이 지긋지긋하니까 그래서 목 4, 5번 한마디만 유합술 했거든요. 강남 OOO병원에서 23년도에 유합술 받았습니다.
목, 어깨가 많이 부어 있고 뭉쳐 있고 아무리 해도 풀리지 않고 두통도 있었고 그 다음에 어지럼증, 눈은 충혈되고 시야가 흐려져서 글씨가 퍼져 나가는 느낌 있잖아요. 그 병증이 계속 움직였어요. 어떤 하루는 목, 어깨에 통증이 더 심했고 또 하루는 어지럼증이 있고 이런 식으로 병증이 움직여서 섬유근육통 약도 먹었죠.
유합술을 하고 나서 좋아진 게 하나도 없어요. 저는 유합술을 받으면 다 될 줄 알았죠. 지긋지긋하니까 저도 수술을 선택을 했고 근데 유합술 받고 나서 다시 통증이 시작되면서 수술하고 더 안 좋아진 케이스죠. 수술하고 좋아진 거 하나도 없습니다. 오히려 통증 양상이 더 많이 바뀌었죠. 수술하고 나서 계속 어깨를 짓누르는 것, 감각 이상, 특히 견갑, 목, 어깨, 그쪽 뼈마디가 시린 증상, 아린 증상, 여기가 그렇게 아팠어요. 사각근이라고 해야 되나. 이 부분이 진짜 목을 떼어내버리고 싶은 그런 심정까지 들 정도였었어요. 그런 증상이 계속 오더라고요.
수술 후에 팔이 안 올라갔어요. 이렇게 팔을 못 들었었어요. 이 정도까지밖에 안 올라갔죠. 이렇게. 그리고 어깨가 뭔가 눌려서 계속 압박을 해요. 견갑이 이렇게 떠요. 그래서 그 병을 치료하기 위해서 백방으로 혼자 수소문 해서 다른 병원을 다니기 시작한 거예요. 세 군데 병원을 다녔죠. 대학병원부터 개인 병원 잘 보는 데 세 군데를 가니까 의견이 분분해요. 1년 동안 프롤로 치료도 받았어요. 근데 치유가 안 돼요. 치료를 받으면 효과가 일주일을 못 가요. 치료 받고 한 3일, 4일 지나면 통증이 다시 또 시작돼요. 아무런 효과가 없더라고요. 또 다른 병원에 내원해서 진료를 해보니까 또 수술을 권유하더라고요. 제가 목디스크 수술을 7월에 했는데 11월에 또 수술을 권유 받았어요. 그런데 목 디스크 수술을 하고 좋아진 것이 없기 때문에 또 수술을 하는 것은 바보 같더라고요.
수술한 병원에서 하신 얘기들은 수술은 잘 됐다는 거예요. 근데 수술이 잘 됐으면 뭐 하나라도 좋아진 게 있어야죠. 좋아진 게 없고 오히려 증상이 덤으로 하나가 생겼잖아요. 수술 전에 100가지 증상이 있었으면 수술 후에 101가지 증상을 가지고 나왔잖아요. 한 6개월 기다려보라고 말씀하는데 지금 6개월이 훨씬 지났지 않습니까. 진통 소염제 주더라고요. 근데 그거 먹어서 될 일도 아니고 그래서 이게 MRI 상으로는 목디스크, 협착증이 있지만 이게 그 병증이 아니구나 하는 생각이 많이 들었죠.
OO한방병원에서도 받았고 또 한의원 두 군데에서 치료 받았어요. 약침, 도침 치료를 받고 통증이 좋아지다가도 다시 원점으로 가는 거죠. 시간이 지나면서 감각 이상, 시린 증상, 그게 치료가 안 되더라고요.
모커리한방병원 유튜브를 보니까 40대 중후반 정도 되는 여자분 치료후기를 봤죠. 그 분도 저같이 엄청 고생했을 거라는 생각이 들어요. 얘기를 들어보니까. 수술을 하라고 권유를 받았는데 모커리를 온 것 같아요. 그분한테서 힌트를 얻은 거예요. 그걸 보고 모커리에 온 거예요. 치료후기요. 제가 이렇게 여러 병원을 다녀보니까 더 이상 치료방법이 없어요. 이 병원 저 병원을 하도 많이 다녀서 갈 병원이 없는 거예요. 또 수술을 할 수는 없지 않습니까. 유튜브를 보니까 원장님 몇 분이 이렇게 설명 하시는데 처음에는 사실 반신반의 했어요. 제가 사실 한방병원을 조금 무시한 경향이 있었죠. 유튜브에서 내용을 쭉 들어보고 또 들어보고 하니까 어쩌면 제 병증에는 모커리 치료를 받으면 좋아질 수도 있겠다는 한 가닥 희망이 생겼죠. 제가 의원부터 대학병원까지 척추병원의 유명한 의사들을 만나러 가도 결국은 또 수술, 시술을 하라고 그러지 않습니까. 그래서 그거는 과감하게 포기를 하고 또 모커리에 치료후기 찍으신 분 보고 나도 한번 모커리에서 해보자 했죠.
먼저 이분 MRI를 보면서 상태를 설명해 드린 후 어떻게 이런 환자들이 근육재활치료로 좋아질 수 있는지, 얼마 만에 좋아질 수 있는지, 치료는 어떻게 하는지 자세히 설명 드리겠습니다.
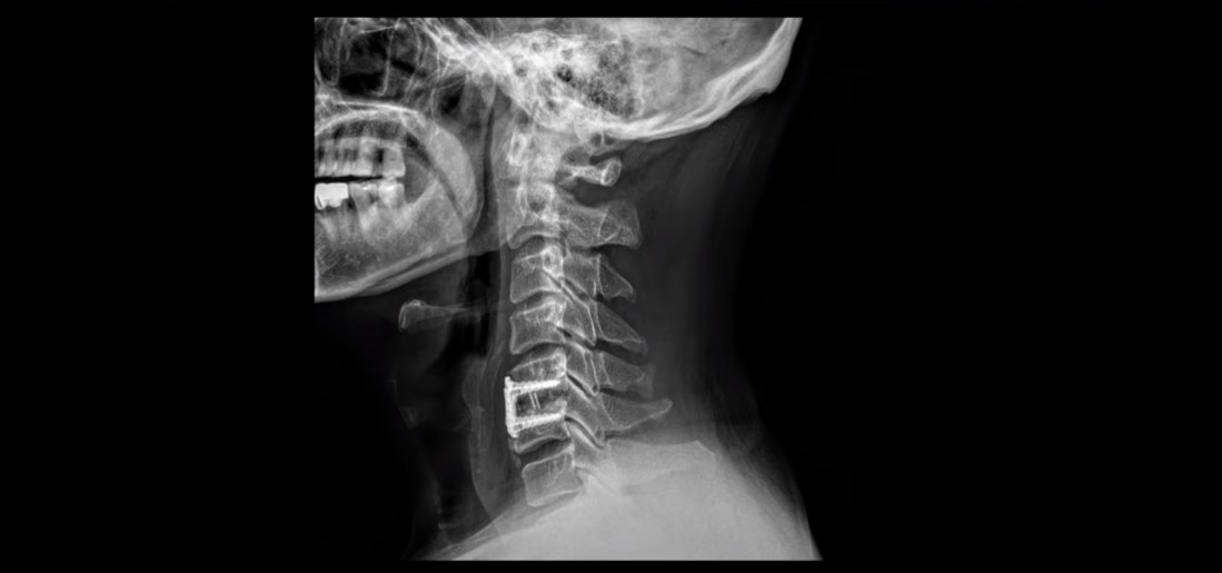
MRI를 보시면 목 5번 6번 마디에 나사가 박힌 유합술이 되어있습니다.

제자리에 나사가 잘 박혀 있고 유합술은 크게 문제가 없는 것으로 보입니다.

수술한 병원에서도 수술은 잘 됐다고 하는데, 문제는 이 환자분이 수술 후에도 엄청난 통증에 시달린다는 겁니다.
저희 모커리한방병원에서는 목이든 허리든 수술이 잘 됐다는 데도 계속 아프다면 당연히 근육 문제를 의심하고 치료해야 한다고 그렇게 반복해서 설명하는데도 신경 주사만 맞거나 아니면 치료를 포기하거나 아니면 추가적인 수술을 받는 분들도 있습니다. 이 환자분도 보시다시피 목의 다른 마디에도 퇴행성디스크와 협착이 있습니다.

그래서 다른 병원에서 추가적인 수술을 권유 받으셨습니다.
목디스크, 목 협착증 수술을 받았는데, 그것도 수술 중 가장 높은 단계의 수술인 유합술까지 받았고, 또 수술이 잘 됐다는 얘기까지 들었는데도 계속 아프다면 왜 반드시 근육재활치료를 받아야 하는지 지금부터 설명해 드리겠습니다.
이 환자분의 증상인 목, 어깨, 등 통증, 두통, 어지럼증, 눈 불편함, 시력 저하 이런 증상들은 원래가 목 근육 문제와 매우 밀접하게 관련된 증상들입니다. 저희가 목디스크, 목협착 환자의 99%는 거북목 환자라고 말씀드렸습니다. 이런 증상들은 거북목과 매우 밀접한 관련이 있습니다.
이분도 X-ray를 보면 완전한 일자목, 거북목 환자입니다.

이런 목의 형태를 가지고 있으면 만성적으로 목과 어깨가 아플 가능성이 높습니다. 앞으로 밀려나간 머리를 목 근육이 붙잡고 있어야 하기 때문에 목, 어깨 근육이 뭉치면서 아프기 쉽습니다. 또 목 근육과 머리 뒤쪽 근육이 연결되어 있으므로 목 근육이 뭉치면 머리 근육도 뭉치면서 두통도 생길 수 있습니다. 또한 거북목은 목 앞쪽 근육이 짧아지면서 심하게 뭉치는데, 이 목 앞쪽 근육 사이로 얼굴 쪽으로 가는 수많은 신경과 혈관이 지나갑니다. 그래서 신경과 혈관이 영향을 많이 받기 때문에 어지럼증, 눈 통증, 눈 침침함, 이명 같은 증상이 생길 수도 있습니다.
목디스크의 제일 중요한 증상은 한쪽 손과 팔, 어깨 특히 견갑골 쪽 통증과 저림 증상입니다. 앞서 말씀 드린 그 외의 여러 증상들은 목 근육 문제와 매우 밀접한 관련이 있습니다. 그래서 목디스크 수술 후 한쪽 손, 팔, 어깨 저림 증상이 없어졌다고 해도 이런 다른 여러 복합 증상들은 좋아지지 않을 수도 있고 또 목 근육 문제로 인한 이런 여러 증상들을 목디스크 증상으로 오진했을 수도 있습니다.
이 환자분이 바로 이러한 증상들을 복합적으로 다 가지고 계신 분이었습니다. 그래서 그런 비슷한 증상의 환자분 치료 후기 영상을 보고 내원하셨습니다. 그럼 이런 환자분의 근육재활치료는 어떻게 할까요? 목 근육 치료는 일단 허리에 비해 근육 구조가 단순하고 근육 크기도 작기 때문에 허리에 비해 치료가 훨씬 더 쉬운 편입니다. 그래서 보통은 통원 치료도 가능하고 치료 기간도 허리에 비해 훨씬 짧습니다.
목 근육재활치료는 목 앞쪽과 뒤쪽 모두 다 잘 치료를 해줘야 하는데요. 목 뒤쪽 근육은 치료가 별로 어렵지 않은 부분이라 통상 어느 병원에서도 치료가 가능한 반면 목 앞쪽 근육 치료는 고난도의 치료입니다. 목 앞쪽 근육 사이로는 아까 말씀드린 대로 수많은 신경과 혈관이 지나가므로 고난도의 치료이며, 따라서 치료 시 경험이 많은 시술자가 매우 주의해서 진행해야 합니다.
목 앞쪽 근육 치료가 제일 중요하고 침, 약침, 봉침, 이완 추나요법, 물리치료, 도수치료, 운동치료 등의 다양한 근육재활치료 방법들을 동원하여 목 근육을 반복해서 치료합니다. 대부분의 병원에서는 목 근육 치료 시 목 뒤쪽 근육만을 치료하는 경향이 있는데, 그러면 심하게 단축되고 뭉쳐있는 목 앞쪽 근육이 머리를 지속적으로 앞으로 계속 잡아당기기 때문에 제대로 좋아지기가 어렵습니다. 이 환자분은 춘천에서 서울까지 운전하시면서 통원치료를 받으셨습니다. 총 8회 치료 후 이 치료 후기 영상을 찍으셨습니다. 그럼 이분의 근육재활치료 결과는 어떻게 됐을까요? 이분의 치료 후 결과가 궁금하시다면 아래 영상을 꼭 보시길 바랍니다.
모커리 목디스크 ABCDE 복합치료법은 수술 없이 목디스크를 치료하는 모커리 고유의 비수술 치료방법입니다. 초기 목디스크는 물론 수술을 권유 받을 정도의 힘 빠짐이나 마비를 동반한 중증 목디스크까지 ABCDE 목디스크 비수술 치료법으로 치료하고 있습니다. 모커리는 일반적으로 목디스크가 허리디스크보다 비수술치료로 더 쉽고 빠르게 치료된다는 것을 연구하여 학술대회 등에 지속적으로 발표하고 있습니다.

보다 많은 환자분들과 건강정보를 공유하고자 개방형 게시판으로 건강상담을 운영하고 있습니다. 목과 허리 통증•디스크•협착증•교통사고•어깨•무릎 등 궁금하신 질문을 남겨주시면 전문의가 최대한 자세하게 답변 드립니다.
| 제목 | |||||||||
|---|---|---|---|---|---|---|---|---|---|
|
|||||||||
|
|||||||||
|
|||||||||
|
|||||||||