목이 아픈 건 되게 오래됐어요. 20년 정도 됐어요. 잠을 잘 못 자서 늘 긴장돼 있는 상태가 오래 되고 애 키우다가 잠 못 자고 매일 새벽에 깨다 자다 이게 반복되면서 목이 이렇게 잘 안 꺾였어요. 그렇게 하면서 일은 계속 해야 하고 중간중간 병원에 가서 약 먹고 그렇게 견뎠던 것 같아요.
목이 뻣뻣해서 안 돌아가는 게 불편했어요. 그러니까 목이 안 돌아갔었고 그 다음에 뒤로 해도 늘 아프고 앞으로 해도 아프고 옆은 거의 못 움직였어요. 되게 많이 아팠어요. 운전할 때 사이드로 거울 보잖아요. 되게 힘들었거든요. 그래서 최대한 몸을 같이 돌리거나 이렇게 보거나 했죠.
목은 뭐 말할 것도 없고 최근에는 어깨, 승모근 통증 그게 가장 심했고 어깨통증 이게 왼쪽도 아주 심했어요. 너무 괴로워서 별 약을 다 찾아서 먹어보고 마사지도 다 해봤어요.
늘 고민이었어요. 두통이 너무 괴로웠어요. 두통이 생긴 것도 몇 년 됐죠. 아침에 딱 눈을 뜨면 알아요. 그날 두통이 오는구나. 그럼 이렇게 머리 안쪽 어디로 신경 하나가 두통이 너무 심하면 눈도 빠질 것 같이 아팠었어요. 두통이 올 때는 진통제가 안 들어요. 통증 클리닉도 갔었어요. 그게 근본 치료가 안 되더라고요. 의사 선생님은 그러시더라고요. 이건 아무래도 근본적인 치료를 위해서 더 큰 병원을 가보세요. 더 이상 안 됩니다. 그래서 이제 운동도 권해서 해보고 했는데 더 심해졌었어요. 이제 너무 힘든 거죠. 모커리 오기 전에는 두통이 며칠째 계속 됐었어요. 그래서 이건 뭔가를 해야 되겠구나 했어요.
아프니까 신경외과에 갔었어요. 사진을 찍더니 당신은 목디스크입니다. 지금 수술을 해도 누구도 놀라지 않을 정도로 목디스크가 여러 군데 있습니다. 지금 바로 수술해도 과언이 아니다 그랬어요. 그러면서 저한테 뭐라고 그러셨나면 62세가 되면 근육이 다 빠져서 통증이 없을 거라 그랬어요. 그 얘기 듣고서 깜작 놀랐어요. 그럼 62세까지는 이렇게 살라는 얘기인가? 그러면서 더 이상 그 병원은 안 갔죠.
대학병원에 가서 MRI를 찍었는데 거기서도 디스크 증상이 있다고 했어요. 그리고 협착증 이런 게 있다고 했고 치료 방법 소개를 안 해주셨어요. 그냥 운동하라고만 얘기하시고 진통제 약만 주시고 그냥 내보냈어요. 어떻게 운동을 해야 될지도 모르겠고 운동하는 방법을 알려주는 데를 소개를 해주시든지 그냥 종이 보고 운동하라고 하시니까 내가 운동을 어떻게 해요. 혼자서 못하죠.
통증 클리닉은 여러 번 갔었죠. 통증 클리닉 가서 신경주사 열심히 맞았는데 목 뒤하고 어깨에 놨어요. 승모근이 많이 뭉치니까 거기에도 직접 놓긴 했는데 통증이 오른쪽은 좀 줄어드는데 왼쪽은 전혀 안 줄어들고 그렇게 계속 주사치료 하시다가 선생님이 ‘여기서는 더 이상 아닌 것 같다’ ‘근본적으로 목디스크 병원을 가보세요’ 이렇게 얘기하셨어요. 그리고 한의원 가서 침 맞은 적 있어요. 거기도 목디스크라고 하고 그냥 침 맞았어요. 한의원은 일주일에 두 번씩 이렇게 3개월 다녔던 것 같아요. 그래도 한 1~2개월 정도까지는 괜찮았던 것 같긴 한데 근본적으로 좋아지는 게 없으니까 원래 그대로 다시 다 돌아왔어요. 근본적인 치료는 하나도 안됐던 거예요.
너무 답답해서 목디스크병원을 알아봐야 되겠다. 저는 목디스크라고 생각을 하고 있었으니까 근데 이 양방병원은 아닌 것 같다. MRI까지 찍었는데 신경외과에서는 수술해라 대학병원까지 갔다 왔는데 당일 제 상태를 보더니 수술은 아니고 가서 운동이나 하세요 이렇게 하고 나를 내보내버렸어요. 저한테 도움이 되는 말이 없었기 때문에 대학병원은 안 가기로 했어요. 양방병원은 저하고 안 맞는 것 같더라고요. 목디스크 병원, 전문병원, 한방병원 이렇게 찾았어요. 한의원으로 이 목디스크 치료를 전문적으로 하는 곳을 찾아봐야 되겠다는 생각을 했어요. 그래서 이제 본격적으로 검색하고 찾아보고 공부를 했죠. 후기도 보고 병원도 여기 저기 많이 가봤는데 여기 모커리가 제일 마음에 들더라고요.
한방병원에 간다고 하니까 양방병원에서 일하는 친구가 적극적으로 막았어요. 디스크가 좁아진 걸 한방에서 어떻게 넓히겠냐고. 그 얘길 듣고 저도 고민이 됐었어요
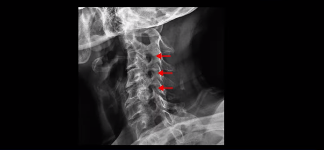
이 환자분 X-ray, MRI 보고 간단히 설명 드린 후 왜 목디스크 치료가 허리디스크에 비해 훨씬 더 쉬운지 자세히 설명 드리겠습니다.
X-ray 보시다시피 완전 일자목 거북목에다 여러 마디가 전부 다 퇴행이 심하며

뼈 모양의 변형도 매우 심합니다.

MRI에서도 보시다시피 여러 마디에 퇴행성 디스크가 있습니다.

X-ray로 봐도 신경 구멍들이 좁아진 게 보입니다.

이런 걸 협착이라고 부르는 거죠. 이 분의 가장 불편한 증상은 20년간 아픈 만성적인 목통증과 어깨통증, 두통과 눈 통증인데 최근 들어 가증 불편한 증상은 목이 아예 돌아가지 않는 겁니다. 그래서 운전할 때도 사이드 미러를 보려면 몸을 돌리셨다고 하는데요. 주사 효과도 전혀 없고 대학병원에서도 디스크와 협착인데 그냥 약먹고 운동만 하라고 하면 이 환자는 어떻게 해야 할까요?
저희가 왜 목디스크 비수술 치료가 허리에 비해 훨씬 쉬운지 지금부터 설명해 드리겠습니다. 목디스크 치료가 쉽다는 얘기는 회복속도도 빠르고 따라서 치료기간도 허리디스크에 비해 절반 정도로 짧고 입원치료를 기준으로 하면 목디스크는 평균 2주 정도 걸립니다. 목디스크가 비수술치료 성공률이 높고 빠른 이유는 목이 무게, 즉 하중을 허리에 비해 굉장히 적게 받기 때문입니다. 그래서 여러분이 만일 수술을 고민하고 있다면, 또 신경주사가 안 듣는다면 정말로 안 해볼 이유가 없는 치료입니다.
그렇다면 어떻게 신경이 눌리는 목디스크가 근육치료로 좋아질 수 있는지, 어떻게 평균 2주라는 빠른 시간 내에 좋아질 수 있는지 설명 드리겠습니다. 거의 모든 목디스크, 목협착 환자, 거의 99%의 환자는 거북목이 있고, 이 거북목으로 인한 심각한 목 근육 문제들을 가지고 있고, 참고로 이 근육 문제들이 목디스크, 목협착증의 발병에 엄청나게 중요한 역할을 합니다.
그래서 목디스크, 목협착증은 목 커브가 정상이고 머리의 위치가 정상인 사람에게는 거의 생기지 않습니다.
거북목이 있으면

목 뒤쪽 근육들은 앞으로 돌출된 머리를 붙잡고 있느라고

엄청난 부담이 생기면서 뭉치게 되고, 목 앞쪽 근육들은 뭉치면서 단축될 수밖에 없습니다.

이런 목의 부담과 압력이 목의 퇴행성 변화를 가속화시켜서 퇴행성목디스크와 목협착이 생기면서 어느 날 신경 눌림 증상이 생기는 겁니다.
이 환자분도 아까 X-ray에서 보여드렸듯이 아주 심한 일자목, 거북목이 있고 그 결과로 목의 거의 모든 마디가 다 퇴행이 진행되어 있죠. 즉 거북목은 모든 목질환, 특히 목디스크, 목협착증의 어머니 질환이며 그래서 목디스크를 치료하기 위해서는 반드시 거북목 때문에 짧아지고 뭉치고 굳고 뒤틀린 목 주변 근육들을 잘 치료해줘야 합니다.
신경이 눌려있으니까 수술해서 풀어줘야 한다는데 그게 근육을 치료해서 좋아질 수 있냐구요? 심하게 뭉치고 짧아져서 목뼈를 잡아당기는 근육이 풀리면 신경이 덜 눌립니다. 이런 내용을 잘 모르는 환자분들에게는 놀라운 얘기일 수 있지만 사실이 그렇습니다.
이론 내용을 잘 모르는 여러분의 이해를 돕기 위해 디스크와 협착증 환자들의 비수술치료 후기 영상을 찍어서 저희 모커리한방병원에서는 매주 유튜브와 인터넷에 치료후기를 올리고 있고 연구 결과를 해외학회 등에 발표하고 있는 겁니다. 이런 간단하면서도 효과적인 치료법이 있다는 걸 모르고 또 못 믿으니까 계속 주사만 맞다가 안 되면 수술까지 받는 겁니다.
이러한 목 근육 치료는 허리에 비해 근육 구조가 단순하고 근육 크기도 작기 때문에 허리에 비해 치료가 훨씬 더 쉬운 편입니다. 그래서 치료기간도 허리에 비해 훨씬 더 짧고, 앞에서 말씀 드렸듯이 입원기간도 2주 정도로 매우 짧은 편입니다 여러분이 만일 목디스크로 수술까지 고민한다면 이런 2주 치료를 안 받아볼 이유가 정말 없지 않겠습니까.
그렇다면 목디스크 근육재활치료는 어떻게 할까요? 치료는 침, 약침, 봉침, 추나요법, 도수치료, 물리치료 등 여러 가지 방법을 통해 목 주변 근육, 특히 목 앞쪽 근육을 집중적으로 치료하게 됩니다. 대부분의 병원에서는 목디스크 비수술치료 시 목 뒤쪽 근육만을 치료하는 경향이 있는데, 그러면 심하게 단축되고 뭉쳐있는 목 앞쪽 근육이 머리를 지속적으로 앞으로 계속 잡아당기기 때문에 제대로 좋아지기가 어렵습니다.
그리고 목 뒤쪽 근육은 치료가 별로 어렵지 않은 반면 목 앞쪽 근육을 풀어주는 것은 굉장히 고난도의 기술인데, 왜냐하면 목 앞쪽 근육 사이로 수많은 신경과 혈관이 지나가기 때문입니다. 따라서 치료 시 시술자가 매우 주의해서 진행해야 합니다.
이렇게 설명 드렸는데도 아직도 목디스크 비수술치료가 가능하다는 걸 못 믿으신다면, 저희 모커리한방병원에서 올려놓은 수많은 목디스크 근육재활치료 후기를 꼭 보시길 바랍니다. 또 이런 생각하시는 분들도 있을 수 있습니다. 목디스크 경증 환자만 치료 가능한 것 아닌지 하고 말입니다. 저희 치료후기를 보시면 아시겠지만 마비와 힘 빠짐까지 있는 환자는 물론 무조건 수술해야 된다라고 들은 환자들도 많습니다. 또 수술 후에도 계속해서 통증에 시달리는 환자들 후기도 있습니다. 그럼 이분의 약 2주 입원치료 결과는 어떻게 되었을까요? 목도 안 돌아가고 목통증, 어깨통증, 두통, 눈통증까지 있었는데 이 증상들이 다 좋아졌을까요? 이 환자분의 치료 결과가 궁금하시다면 아래 영상을 꼭 보시길 바랍니다.
모커리 목디스크 ABCDE 복합치료법은 수술 없이 목디스크를 치료하는 모커리 고유의 비수술 치료방법입니다. 초기 목디스크는 물론 수술을 권유 받을 정도의 힘 빠짐이나 마비를 동반한 중증 목디스크까지 ABCDE 목디스크 비수술 치료법으로 치료하고 있습니다. 모커리는 일반적으로 목디스크가 허리디스크보다 비수술치료로 더 쉽고 빠르게 치료된다는 것을 연구하여 학술대회 등에 지속적으로 발표하고 있습니다.

보다 많은 환자분들과 건강정보를 공유하고자 개방형 게시판으로 건강상담을 운영하고 있습니다. 목과 허리 통증•디스크•협착증•교통사고•어깨•무릎 등 궁금하신 질문을 남겨주시면 전문의가 최대한 자세하게 답변 드립니다.