작년부터인가 얼마 전부터 허리가 무겁고 아프고 그런 증상이 왔는데 그러고 있다가 어느 날 갑자기 아침에 일어났는데 왼쪽 엉덩이가 아프면서 막 다리가 저리고 아프고 그런 증상이 오더라고요.
엉덩이가 제일 당기고 다리가 저리고 아프니까 서 있지도 못하겠고 활동도 못하겠고 걷지도 못하겠고 그런 게 제일 힘들더라고요. 물론 허리도 아팠고요. 처음에 한 2주일 정도는 그냥 엉덩이가 무슨 타박상인 것처럼 그 정도로 아프더라고요. 그러더니 이제 2주 지나고 3주 지나니까 막 당기고 송곳으로 찌르는 거 마냥 아프고 그러니까 서 있을 수도 없고 앉아 있을 수도 없고 그런 상황인 거예요. 걸을 때 아팠어요. 왼쪽 엉덩이 쪽이 걸어도 당기고 아프고 그러다 보니까 허리도 점점 더 아프게 되고 그렇게 된 것 같아요.
일본에서는 한국어로 얘기하자면 정형외과죠. 거길 갔어요. X-ray 찍고 4번 5번 그 사이에 간격이 좁아지고 있다고 말씀을 하시더라고요. 근데 거기서는 별다른 치료가 없고 그냥 진통제, 신경 소염제 그런 거를 계속 3~4개월 먹는데 조금은 나아지겠죠. 아무래도 진통제가 들어가 있고 이러니까. 근데 약을 먹어서는 치료가 안 될 것 같은 느낌이더라고요. 치료 방법을 바꿔야지 싶은 생각이 들어서 또 다른 병원에 가서 치료를 받게 된 거예요. 그 다음에 간 병원에서는 MRI를 찍었어요. 근데 골다공증 검사도 하는데 제가 수치도 낮게 나오고 이러니까 골다공증 치료 약을 먹고 하면 좋아진다 했는데 제 생각에는 이걸 먹어서도 될 병이 아닌 것 같은 느낌이에요. 그게 척추뼈 간격이 좁아지고 뼈가 그러면 근본적인 치료를 해야 되잖아요.
한국이 전문적으로 세분화 돼서 치료하는 게 굉장히 많이 발달이 돼 있잖아요. 근데 일본은 치료적인 면에서 볼 때 발전이 안 돼 있는 것 같아요. 일본에서는 치료하는 강도가 좀 약해요. 약도 그렇고 오래 다녀야 돼요. 그러니까 여러 가지 생활하는 데도 힘들고 우리 한국은 굉장히 설비 투자를 많이 하고 점점 개발을 해 나가잖아요. 그러니까 제가 일본에서 이건 아니다 싶은 생각이 들어서 바로 한국에 와서 시술을 하든 수술을 하든 뭘 하려고 했었어요. 그러다 이제 찾아보니까 그러면 수술을 하지 말고 한번 비수술 치료를 해볼까 이런 마음이 들었어요.
MRI를 한국에서 다시 찍었는데요. 허리 4번 하고 5번 사이에 좀 간격이 좁아지고 협착증에서 오는 증상인 것 같다 이렇게 말씀하셨어요. 이것저것 찾다 보니까 모커리한방병원이 눈에 들어와서 제가 치료후기도 읽어보고 다 봤어요. 이런저런 점들이 참 자세하게 적혀 있었던 것 같은 느낌이 들어요. 그리고 일단 수술을 안 하고 척추를 고친다는 그 점이 제일 신뢰가 갔던 것 같아요. 그게 탁 와닿았던 것 같아요. 저한테 맞는 것 같아서 오게 된 게 계기입니다. 그래서 한번 가보자 하고 왔어요.
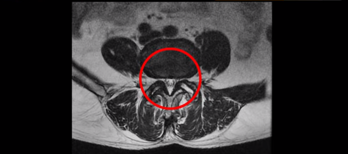
이분 MRI 보면서 설명드린 후 왜 이분처럼 발병한지 얼마 안된 협착증이 치료가 정말 빠르고 쉬운 건지 또 치료는 어떻게 하는 건지 자세히 설명 드리도록 하겠습니다.
MRI를 보면 척추 여러 마디가 퇴행되어 있고

척추관도 좁아져 있고

특히 왼쪽 신경가지가 빠져나가는 4번 5번, 5번 1번 추간공들이 많이 좁아져 있습니다.

그래서 이분은 몇 달 전부터 갑자기 왼쪽 엉덩이부터 발바닥까지 저리고 아픈 증상이 생겨서 걷기도 어렵고 무릎도 차고 시립니다. 그런데 왜 이렇게 얼마 전에 갑자기 발병한 협착증일수록 치료가 정말 빠르고 쉽다는 걸까요?
이분이 처음 아프게 된 건 작년 말입니다. 그런데 만일 이분이 아프기 전인 작년 초에 MRI를 찍었다면 지금 보시는 MRI와 많이 다를까요? 정답은 거의 차이가 없다입니다. 노화로 인해 신경 구멍이 좁아진 건 이미 오래 전에 벌어진 일입니다. 이렇게 신경 구멍이 좁아져 있는 채로 아무런 증상을 느끼지 않고 최소 5년에서 10년 이상 잘 산 것입니다. 이런 걸 잠복 협착이라고 합니다. MRI로 협착이 보이지만 아무런 증상이 없다는 뜻입니다.
그럼 왜 작년 말에 갑자기 아프게 된 걸까요? 바로 근육에 문제가 생겼기 때문입니다. 60세 넘어서 근육이 줄어들고 약해진 상태에서 무리한 일이나 운동 등으로 근육에 문제가 생기면 허리를 잘 지지하지 못하니까 신경이 자극되고 눌리는 증상이 생기는 겁니다. 신경 구멍이 좁아져 있으니까 근육에 문제가 생기면 신경 자극 증상이 더 쉽게 나타나는 겁니다. 이분은 영상에는 없지만 작년 겨울 스키를 타다 넘어졌다고 했습니다. 아마 그게 근육문제를 일으켰고 발병에 영향을 주었을 가능성이 높습니다.
이분이 근육 관리를 평소에 잘 했더라면 협착이 있는 줄도 모르고 훨씬 더 오랫동안 건강하게 잘 사셨을 겁니다. 실제로 60세가 넘는 분들 중 전혀 안 아픈 분들을 아무나 데려다가 MRI를 찍어보면 증상이 전혀 없는데도 협착이 있는 분들이 매우 많습니다. 증상이 없는 잠복 협착이 매우 많다는 겁니다. 이건 여러 논문 등에서 이미 널리 밝혀진 사실입니다. MRI에서 신경이 눌려보여도 안 아픈 사람들이 매우 많다는 얘기는 근육재활치료로 근육 상태가 좋아지면 지금 아픈 사람도 얼마든지 안 아파질 수 있다는 얘기입니다. 그래서 저희가 근육을 좋게 만들기 위한 근육재활치료를 하고 있는 겁니다.
저희는 이런 사실을 널리 알리기 위해 매주 이렇게 치료후기 영상도 찍어서 올리고, 세계적으로 유명한 미국의 대학병원과 공동연구를 통해 근육재활치료의 효과를 해외 저널에 논문으로 발표도 하고 있습니다. 그럼 이런 근육재활치료는 어떻게 할까요?
저희 모커리는 협착증 환자의 약해지고 뭉치고 뒤틀린 근육을 좋게 만들기 위해 한방, 양방을 통틀어 근육에 관련된 할 수 있는 거의 모든 치료를 다 합니다. 침, 약침, 봉침, 이완추나, 근육의 피로를 풀어주는 한약, 도수치료, 물리치료, 운동치료까지 여러분이 일상적으로 많이 받고 계신 치료가 대부분 다 근육을 치료하는 겁니다.
그런데 협착증이라는 건 최소 5년에서 길게는 10년, 20년 이렇게 오랫동안 근육이 줄어들고 약해지고 문제가 생기면서 발생하는 것이기 때문에 근육치료를 간단하게 몇 번 받는다고 해서 이런 오래된 근육 문제가 바로 해결되는 것이 쉽지 않습니다. 게다가 근육재활치료 받으면서 직장 가서 일하고, 집에 가서 일하면 회복될 가능성이 더 떨어집니다.
그래서 저희는 환자를 입원시켜놓고 하루에도 4번 이상 허리 주변 근육을 치료하고 쉬고 치료하고 쉬고 치료하고 쉬고를 2주~4주 정도 반복합니다. 이런 초기 협착증 환자분들은 대부분 2주 정도의 입원치료를 받으시는데요. 이런 집중적이고 반복적인 협착증 근육재활치료를 우리는 모커리 ABCDE 협착증 치료법이라고 부릅니다.
이런 집중된 반복치료를 통해 근육 상태가 좀 좋아지면 운동도 시작하게 됩니다. 그런데 운동도 무리한 근력 운동은 오히려 증상을 더 악화시키기 때문에 가벼운 운동이지만 근육의 기능을 살려주는 운동인 누워서 하는 운동과 실내 걷기운동 등을 주로 하셔야 됩니다. 이 운동에 대해 관심 있는 분들은 아래 영상을 보시길 바랍니다.
이렇게 입원해서 치료하고 쉬고 운동하고, 치료하고 쉬고 운동하고를 매일매일 2주~4주 정도 계속 반복해서 근육 상태가 좋아지면, 허리를 더 잘 지탱해 주니까 협착증 증상이 훨씬 더 좋아지게 됩니다.
이분은 전체 치료횟수로 보자면 2주 입원치료보다도 훨씬 더 적은 치료를 받으셨습니다. 그럼 이분의 근육재활치료 결과는 어떻게 됐을까요? 걷지도 못할 만큼 아픈 증상이 다 사라지셨을까요? 이렇게 빨리 좋아지는 게 가능할까요? 근육재활치료의 장점은 허리가 재활을 통해 더 튼튼해지고 건강해지는 겁니다. 허리에 손상을 주는 수술과는 달리 근육재활치료는 허리에 어떠한 형태로든 손상이 없고 반대로 더 튼튼해지는 겁니다. 그게 정말 큰 장점인 겁니다. 이분의 치료 후 결과가 궁금하시다면 아래 영상을 꼭 보시길 바랍니다.
모커리 척추관협착증 ABCDE 한·양방 협진 재활치료법은 수술 없이 협착증을 치료하는 모커리 고유의 비수술 치료방법입니다. 한쪽 다리의 통증만 있는 초기 협착증부터 다리에 힘이 빠지고 몇 걸음 걷지 못하는 말기 협착증까지 ABCDE 척추관협착증 비수술 치료법으로 치료하고 있습니다. 모커리는 수준 높은 임상연구를 통하여 말기 협착증 환자가 ABCDE 재활치료로 통증 없이 걷는 거리가 11배 증가했다는 것을 과학적으로 객관적으로 증명하여 국제학술지에 논문을 발표했습니다.

보다 많은 환자분들과 건강정보를 공유하고자 개방형 게시판으로 건강상담을 운영하고 있습니다. 목과 허리 통증•디스크•협착증•교통사고•어깨•무릎 등 궁금하신 질문을 남겨주시면 전문의가 최대한 자세하게 답변 드립니다.
| 제목 | |||||||||
|---|---|---|---|---|---|---|---|---|---|
|
|||||||||
|
|||||||||
|
|||||||||
|
|||||||||