오른쪽 다리 방사통이 허리부터 엉덩이, 엉치뼈, 종아리 진짜 말도 못했어요. 어떻게 하지를 못했어요. 너무 아파 갖고. 4월부터 세 달을 아픈 거예요. 말도 못했어요. 아무것도 못하고 집에서 바퀴의자 타고 화장실 움직이고.
못 걸었어요. 집 안에서 방에서 현관까지 가기도 어려웠으니까요. 그러니까 한 몇 미터라고 해야 되나 한 10미터도 안 되고 그 정도도 못 걷고 지팡이 짚고 허리가 완전 90도 굽고 복대를 하고 양쪽에 스틱을 짚고 겨우 한 발 한 발 옮겨서 간 거예요. 허리 펴기도 어렵고요. 허리를 펴면 다리가 방사통이 엄청 심했어요. 그러니까 이렇게 90도로 굽으면은 증상이 좀 덜한 것 같고요.
밥을 먹어야 되는데 식탁에 앉지도 못하고 또 화장실을 가야 되는데 아파 갖고 막 울고 진땀이 많이 나고요. 그리고 침대에 누워서 왼쪽으로만 베개 받치고 있어야지 조금 움직이면 아파서 못 살아요. 그렇다고 누워서 모든 걸 할 수가 없잖아요. 그러니까 이렇게 움직이고 일어나는 순간부터 아프기 시작하는 거예요. 양치하는 것도 어렵고 일상생활이 다 어려웠어요. 그 3개월 동안 너무 힘들어 갖고 진짜 이대로 죽나 그 생각까지 했어요.
못 잤어요. 통증 때문에요. 잠을 제대로 못 잔 거예요. 진통제 먹고 잠깐 1시간 잠들어요. 그러다가 잠이 깨요. 아파 갖고. 끙끙 앓으면 남편이 주물러주고 고생 엄청 많이 했어요. 진짜 이거 아파 보지 않은 사람은 몰라요.
4월 9일 날 야산이 있는데 거기서 나물 뜯고 집에 와서 그걸 다 다듬었어요. 한 두세 시간 앉아서 일을 했죠. 그거를 3일간 하는데 허리가 많이 아팠어요. 동네 통증의학과 갔더니 엑스레이만 찍었어요. 디스크라고 그러면서 신경주사 놔주셨어요. 그런데도 더 아팠어요. 그래서 이제 또 OO 정형외과를 왔거든요. MRI를 찍었어요. 사진 보시더니 디스크 조금 돌출됐고 협착증 조금 신경을 눌렀대요. 거기서도 신경주사 맞고 안 되면 시술하고 시술 안 되면 그때 수술하자고 그러시대요. 그래서 신경주사 맞고 집에 왔는데 3일 후부터는 또 아파 갖고 계속 누워서 지내고 예약 날짜에 갔더니 신경주사만 또 놔주세요. 신경주사를 총 4번 맞은 거예요. 근데 효과는 없었어요.
허리디스크, 협착증을 인터넷 검색하고 유튜브를 찾아봤어요. 모커리한방병원이 나와 갖고 봤죠. 보니까 비수술로 치료해서 회복된 사람들이 나하고 비슷한 증상이 많았어요. 치료후기 보고 어떻게 치료하신다 원장님들이 설명한 거 봤어요. 모커리한방병원 한번 가봐야 되겠다 그 생각했죠. 비수술이고 입원집중치료 한다고 그래 갖고 다른 병원은 제쳐두고 그래서 전화예약을 하고 6월 25일 날 와서 입원을 한 거예요. 저는 아프니까 입원하면 어떻게 통증은 없애주겠지 그 희망을 갖고 왔어요.
남편은 내가 너무 아파하니까 거기서 치료가 되겠느냐, 또 아들도 한방병원에서 어떻게 치료가 되겠느냐고 다들 의아해해요. 너무 아프니까 지푸라기라도 잡고 싶다고 그러니까 그러라고 하는데 수긍을 못했어요. 다들 가족들이.
이분 MRI를 보면서 설명 드린 후 어떻게 이렇게 걷지도 못해 휠체어 타시는 환자분이 비수술 치료로 단 몇 주 만에 좋아져서 잘 걷게 될 수 있는지 또 치료는 어떻게 하는지 자세히 설명드리겠습니다.
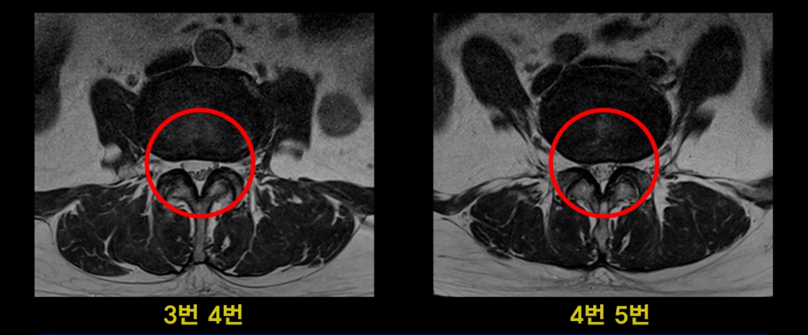
이분 MRI를 보면 여러 마디가 퇴행이 진행되어 있고

3번 4번과 4번 5번에 중심성 협착이 있는데

4번 5번이 더 심합니다.

또 4번 5번 마디에 오른쪽으로 찢어져서 밀려나온 디스크 탈출이 보입니다.

밀려나온 수핵이 조금 흘러내려 있습니다.

주사를 여러 번 맞아도 듣지 않으니까 수술 해야 된다고 들으셨는데 어떻게 신경이 눌렸다는 환자가 수술 없이 근육신경재활치료로 좋아질 수 있는 걸까요? 지금부터 설명 드립니다.
신경이 지나가는 척추관이 좁아지는 건 노화로 인해 매우 천천히 진행됩니다. 우리 얼굴 주름이 작년 주름이나 올해 주름이 차이가 없듯이 협착도 갑자기 심해지지 않습니다. 이분 신경구멍이 좁아진 건 이미 오래전 수년 전에 이미 진행되었던 것이고 그동안 신경구멍은 좁아져 있었지만 얼마 전까지 아무런 증상을 느끼지 않고 오랫동안 잘 사신 겁니다. 이걸 무증상협착이라고 합니다. 무증상협착이란 MRI로 신경이 눌려 보이지만 아무런 증상이 없다는 뜻입니다. 논문에 따라 비율이 다르긴 하지만 60세 이상 협착이 보이는 사람들 중 80% 정도가 무증상 협착이라는 연구결과도 있습니다. 그만큼 무증상 협착이 그만큼 많다는 얘기입니다. 이런 무증상협착환자분들은 왜 협착이 있는데도 안 아픈 걸까요? 그건 근육기능이 정상적이여서 척추를 잘 지지해주면 신경이 안 눌리기 때문입니다.
근육기능이 정상적인 분들은 협착이 있더라도 신경이 안 눌리거나 덜 눌립니다. 마찬가지로 근육에 문제가 생기고 근육 기능이 떨어지면 언제든 협착증 증상이 발생하고 심해질 수 있습니다. 이 치료후기의 환자분도 마찬가지로 산에 나물 캐러 가서 며칠 동안 무리하고 집에 와서 쉬지 않고 계속 무리하게 일하신 후에 갑자기 극심한 다리의 방사통이 시작됐습니다. 무리한 일 때문에 근육에 문제가 생기면서 신경이 눌리고 자극되기 시작한 겁니다. 그래서 저희가 하는 치료를 근육신경재활치료라고 하는 겁니다. 근육신경재활치료로 근육의 문제가 해결되고 근육의 기능이 회복되면 신경이 안 눌리거나 훨씬 덜 눌리게 됩니다. 즉 무증상 협착 상태로 바뀌는 겁니다. 근육과 신경의 재활치료를 통해 근육기능이 좋아지면 신경기능이 함께 좋아지는 것입니다.
저희는 이런 사실을 널리 알리기 위해 매주 이렇게 치료후기 영상도 찍어서 올리고, 세계적으로 유명한 미국의 대학병원과 공동연구를 통해 근육신경재활치료의 효과를 해외 저널에 논문으로 발표도 하고 있습니다. 그럼 이런 근육신경재활치료는 어떻게 할까요?
저희 모커리는 협착증 환자의 약해지고 뭉치고 뒤틀린 근육을 좋게 만들기 위해 한방, 양방을 통틀어 근육에 관련된 할 수 있는 거의 모든 치료를 다 합니다. 침, 약침, 봉침, 이완추나, 근육의 피로를 풀어주는 한약, 도수치료, 물리치료, 운동치료까지 여러분이 일상적으로 많이 받고 계신 치료가 대부분 다 근육을 치료하는 겁니다.
그런데 협착증이라는 건 10년, 20년, 30년 이렇게 오랜 기간 근육이 줄어들고 약해지고 문제가 생기면서 발생하는 것이기 때문에 근육치료를 간단하게 몇 번 받는다고 해서 이런 오래된 근육 문제가 바로 해결되는 것이 쉽지 않습니다. 게다가 근육재활치료 받으면서 직장 가서 일하고, 집에 가서 일하면 회복될 가능성이 더 떨어집니다.
그래서 저희는 환자의 모든 일상생활을 중단하고 입원시켜놓고 하루에도 4번 이상 허리 주변 근육을 치료하고 쉬고 치료하고 쉬고 치료하고 쉬고를 2주~4주 정도 반복합니다. 이런 집중적이고 반복적인 협착증 근육재활치료를 우리는 모커리 ABCDE 협착증 치료법이라고 부릅니다. 이런 집중된 반복치료를 통해 근육 상태가 좀 좋아지면 운동도 시작하게 됩니다. 그런데 운동도 무리한 근력 운동은 오히려 증상을 더 악화시키기 때문에 가벼운 운동이지만 근육의 기능을 살려주는 운동인 누워서 하는 운동과 실내 걷기운동 등을 주로 하셔야 됩니다. 이 운동에 대해 관심 있는 분들은 아래 영상을 보시길 바랍니다.
이렇게 입원해서 치료하고 쉬고 운동하고, 치료하고 쉬고 운동하고를 매일매일 2주~4주 정도 계속 반복해서 근육 상태가 좋아지면, 허리를 더 잘 지탱해 주니까 협착증 증상이 훨씬 더 좋아지게 됩니다. 그럼 이분의 근육신경재활치료 결과는 어떻게 되었을까요? 일어서서 걷지도 못할만큼 심한 다리 통증이 다 좋아졌을까요? 앉아있어도 아프고 누워도 아파서 잠도 제대로 못 주무셨는데 그런 증상이 몇 주 만에 다 좋아졌을까요?
근육신경재활치료의 장점은 허리가 재활을 통해 더 튼튼해지고 건강해지는 겁니다. 허리에 손상을 주는 수술과는 달리 근육재활치료는 허리에 어떠한 형태로든 손상이 없고 반대로 더 튼튼해지는 겁니다. 그게 정말 큰 장점인 겁니다. 이분의 치료 후 결과가 궁금하시다면 아래 영상을 꼭 보시길 바랍니다.
모커리 척추관협착증 ABCDE 한·양방 협진 재활치료법은 수술 없이 협착증을 치료하는 모커리 고유의 비수술 치료방법입니다. 한쪽 다리의 통증만 있는 초기 협착증부터 다리에 힘이 빠지고 몇 걸음 걷지 못하는 말기 협착증까지 ABCDE 척추관협착증 비수술 치료법으로 치료하고 있습니다. 모커리는 수준 높은 임상연구를 통하여 말기 협착증 환자가 ABCDE 재활치료로 통증 없이 걷는 거리가 11배 증가했다는 것을 과학적으로 객관적으로 증명하여 국제학술지에 논문을 발표했습니다.

보다 많은 환자분들과 건강정보를 공유하고자 개방형 게시판으로 건강상담을 운영하고 있습니다. 목과 허리 통증•디스크•협착증•교통사고•어깨•무릎 등 궁금하신 질문을 남겨주시면 전문의가 최대한 자세하게 답변 드립니다.
| 제목 | |||||||||
|---|---|---|---|---|---|---|---|---|---|
|
|||||||||
|
|||||||||
|
|||||||||
|
|||||||||