

A. 솔직히 어떤 게 더 무서운 병인지 말하는 것이 주관적이지만, 일반적으로 척추관협착증이 더 무서운 병이라고 할 수 있습니다.
그 이유는 허리디스크의 경우에는 비수술 치료를 잘 받으면 파열되어 튀어나온 디스크가 다시 몸속으로 흡수되는 경우도 많고, 허리디스크는 일반적으로 시간이 흐르면 신경에 생긴 염증이 가라앉으면 좋아지는 경향이 있습니다. 하지만 척추관협착증은 심각한 퇴행으로 인해 척추관 공간이 굉장히 좁아져 신경을 압박하기 때문에 시간이 흐른다고 좁아진 척추관의 공간이 다시 넓어지는 일도 없고, 또 시간이 흐른다고 해서 증상이 저절로 좋아지는 경우도 없습니다.
때문에 척추관협착증은 증상이 시작된 초기에 바로 치료를 시작해야 증상이 악화되는 것을 막을 수 있고 치료의 결과도 더 좋을 수 있습니다.
거의 걷지 못하는 상태에서 치료를 시작하게 되면 치료 결과가 초기에 치료를 시작한 것보다 좋을 수가 없습니다. 또 근육과 인대, 디스크의 기능이 가능한 많이 남아있을 때 치료해야 그 기능을 조금이라도 더 회복할 수 있습니다.
허리디스크는 아주 드문 예외적인 상황(마미증후군, 근력이 많이 떨어지는 상황)을 제외하고는 통증을 참는다고 해서 특별한 후유증이 생기는 경우는 거의 없습니다. 반면, 척추관협착증은 증상을 계속 참으면 퇴행성 변화가 진행되어 보행 거리가 점점 짧아지는 것은 물론 속칭 ‘꼬부랑 할머니’라고 하는 것처럼 허리가 굽어버리게 됩니다.
A. 허리디스크는 척추뼈 사이에 있는 디스크가 밀려나와 신경을 건드려 나타나는 염증성 통증과 디스크가 심하게 밀려나와 신경을 압박하여 나오는 근력 저하 및 마비 증상 등의 증상이 나타날 수 있습니다. 허리디스크는 디스크가 밀고 나오면서 급성으로 통증이 나타나는 경우가 많고 한쪽 다리와 엉덩이에 통증 및 저림 증상이 나타나며, 주로 50대 이하에서 많이 발병하는 것이 특징이라고 할 수 있습니다.
반면 척추관협착증은 척추를 둘러싸고 있는 근육과 인대의 퇴행성 변화와 디스크의 퇴행 및 비후된 인대에 의해 척추관이 좁아지면서 신경을 압박해 통증이 나타납니다.척추관협착증은 오랜 시간(수년에서 수십 년)에 걸쳐 서서히 진행되고 양쪽 다리 저림과 오후가 되면 통나무처럼 얼얼하고 뻣뻣해지는 등의 감각 이상이 나타납니다. 특히 조금 걷다 보면 다리가 저리고 당기는 파행성 보행이 나타나며, 새벽에 다리가 저리거나 갑자기 쥐가 나고 60대 이상에서 주로 발병하는 것이 특징입니다.
이 외에도 허리디스크와 척추관협착증의 가장 큰 차이점은 일반적으로 허리를 앞으로 굽힐 때 통증이 심하면 허리디스크, 허리를 뒤로 젖힐 때 통증이 심하면 척추관협착증으로 구분할 수 있습니다.
A. 허리디스크와 협착증이 동시에 나타날 수도 있습니다. 같은 마디에서 동시에 허리디스크와 척추협착증이 나타날 수도 있고 어떤 마디에는 허리디스크, 또 다른 마디에는 척추협착증, 이렇게 동시에 있는 경우가 있을 수 있습니다.
실제 허리디스크 환자가 협착이라는 단어를 듣고 오는 경우가 꽤 있습니다. 많은 사람들이 디스크의 높이가 낮아지고 찌그러져서 척추뼈와 척추뼈 사이의 공간이 좁아지는 것을 협착증이라고 생각합니다. 그러나 사실 진정한 의미의 협착증 척추관 내부의 인대가 부풀어 올라서 신경을 압박하는 것입니다.
실제로 허리디스크인데 척추관협착증이라고 듣고 오는 경우도 많은데, 환자분들이 이에 대해 많이 혼란스러워하기 때문에 허리디스크와 척추관협착증은 명확히 구분하는 것이 중요합니다.
허리디스크와 척추관협착증은 퇴행성 척추질환이기 때문에 오래 앓다 보면 실제로 두 질환이 혼재되어 있는 경우가 많습니다. 이렇게 두 질환이 동시에 있을 땐 어떤 게 주증상이고 부증상인지 파악하는 것이 중요합니다. 그러기 위해서는 영상검사 결과와 꼼꼼한 진단을 통해 종합적인 판단을 내려야 합니다. 환자분이 직접 느끼는 증상을 꼼꼼하게 보지 않고 영상검사 결과만으로 판단한다면 엉뚱한 곳을 치료할 수도 있기 때문에 주증상을 파악하여 중점적으로 치료해야 합니다.
A. 허리디스크가 무조건 척추관협착증으로 진행되는 것은 아니지만, 허리디스크가 있는 상태에서 계속 무리를 하거나 통증 관리를 하지 않고 오래 방치하게 되면 척추관협착증으로 진행될 수 있습니다.
이미 허리디스크가 있다는 것은 허리 근육과 인대, 디스크 등의 퇴행이 진행됐다는 얘기인데, 계속해서 방치하다 보면 허리 주변 근육과 인대, 뼈, 후관절 등이 무리한 압력을 지속적으로 받게 되어 더 심한 퇴행성 변화를 일으킬 수 있습니다. 이렇게 되면 척추관 내 인대가 비정상적으로 부풀어 올라 척추관의 공간이 줄어들어 척추관협착증으로 진행될 수 있습니다.
또한 디스크와 수분이 빠져나가면서 얇아지고 딱딱해지는데 근육과 인대, 뼈, 후관절 등이 압력을 받아 부풀어 오르고 딱딱해지면서 척추관의 공간을 막게 되는 것입니다.
특히 허리디스크나 척추 수술을 받은 경우에는 척추 구조물이 약해져 있어 더 주의해야 합니다. 여기서 주의해야 한다는 말의 뜻은 무리해서 통증이 생기지 않도록 평소에도 관리가 필요하다는 것을 말합니다.
A.
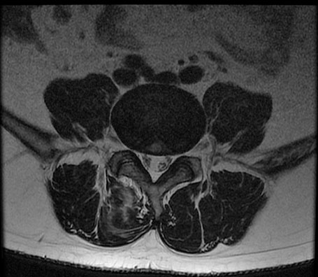
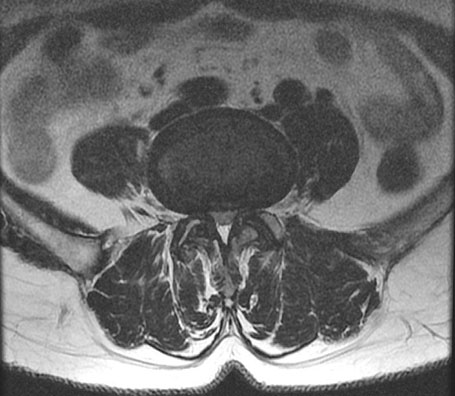
※ After 사진은 6개월 후 촬영된 모습으로, 파열된 디스크가 깨끗하게 흡수된 것을 확인할 수 있습니다.
허리디스크는 비수술 치료를 잘 받으면 튀어나온 수핵이 깨끗하게 흡수되어 없어지는 경향이 있습니다. 특히 파열이 심할수록, 디스크가 찢어져 수핵이 많이 튀어나올수록 오히려 더 잘 흡수되는 경향이 있습니다. 정확히 말하자면, 찢어진 디스크 안으로 재흡수되는 것이 아니라 우리 몸이 튀어나온 디스크를 이물질로 인식해 녹여서 몸속으로 흡수되어 없어지는 것입니다.
허리디스크 치료는 밀려나온 디스크로 인해 신경근에 생긴 염증성 통증과 염증 및 신경 자극으로 인한 척추 주변 및 하지 근육과 인대의 뭉침, 긴장으로 인한 통증을 제거하고 흘러나온 수핵이 잘 흡수될 수 있도록 허리 주변의 근육과 인대 기능을 회복 및 강화시키는 데 있습니다.
염증과 통증을 제거해주는 에키스약침, 경결된 근육과 인대를 밀고 당겨 최대한 이완시켜 기능 회복과 탄력성을 높여주는 이완추나, 염증 및 부종제거, 연골보호 및 뼈파괴세포 억제, 신경기능 회복 등의 효과가 객관적으로 검증된 특허받은 한약 등으로 치료합니다.
막힌 척추관을 넓히지 않고 어떻게 비수술로 치료가 가능할까요?
비수술 척추관협착증 치료를 이해하려면 척추관협착증 환자가 왜 아픈지를 아는지도 중요합니다. 중증 척추관협착증 환자라도 그날의 컨디션에 따라 어느 날은 좀 괜찮다가 또 어느 날은 아프다가를 반복합니다. 좀 괜찮은 날이 있다는 것은 우리 몸의 근육과 인대의 기능이 어느 정도 살아있다는 것을 의미합니다. 척추관의 공간이 막혀 있어도 척추관 옆에서 지탱해주는 근육과 인대의 기능 및 상태가 좋아지면 증상이 충분히 좋아질 수 있습니다.
척추관협착증 치료의 핵심은 기능이 떨어지고 약해져 있는 근육과 인대의 남아있는 기능을 최대치로 끌어올려 통증을 제거하고 신경 압박을 줄여줌으로써 통증 없이 걸을 수 있는 거리를 늘려주는 것입니다.
이완추나로 경결된 근육과 인대를 밀고 당겨 이완시켜 근육과 인대의 기능을 최대치로 끌어올려 척추뼈를 잘 지탱할 수 있도록 돕고 에키스약침으로 염증과 통증을 제거하고 한약으로 기능이 떨어지고 피로가 쌓인 근육과 인대의 피로 회복과 기능 회복을 도와줍니다.
허리디스크와 척추관협착증 치료에서 공통적으로 필수적인 것이 생활습관 교정과 운동법 교육입니다. 생활이 곧 운동이고 치료법이 되어야 하는 만큼 모커리는 올바른 생활습관과 운동법을 세세하게 교육시켜 드립니다.
A. 일반적으로 허리디스크가 척추관협착증보다 쉽고 빠르게 치료됩니다.
협착증은 일반적으로 허리디스크보다 퇴행의 정도가 더 심하고 한 부위에서만 퇴행이 진행되는 것이 아니라 여러 부위에서 동시다발적으로 진행되는 경우가 많아 허리디스크보다 치료 기간이 더 긴 편입니다. 허리디스크는 통원치료 기준 2~3개월 정도, 척추관협착증은 3~4개월 정도입니다.
통증 없이 한 번에 걸을 수 있는 시간이 최소 1시간 정도이고 집과 병원과의 거리가 차로 10~20분 이내이면서 보호자가 매번 병원까지 모셔다드릴 수 있다면 통원치료가 가능하지만, 걸을 때 20분 내로 통증이 나타나거나 치료 직후 차를 오래 타야 한다면 통원치료보다는 입원치료를 받는 것이 더 좋습니다. 입원집중치료 시 치료 기간은 허리디스크 3~4주, 척추관협착증은 4~5주 정도입니다.
A. 허리디스크 초기에는 통증이 심하지 않고 디스크 수핵이 조금 밀려나와 주변 신경뿌리에 닿으면서 염증성 통증이 발생합니다. 염증성 통증은 시간이 지나면 염증이 가라앉으면서 대부분 좋아지기 때문에 허리디스크에 좋은 운동과 함께 적극적 휴식, 생활습관 교정 등을 잘 지킨다면 자연적으로 치유될 가능성도 있습니다. 하지만 협착증은 이미 퇴행이 많이 진행되어 척추관 공간이 좁아졌기 때문에 운동이나 휴식 등 자연치유로 좋아질 가능성은 허리디스크보다 낮습니다.
또한 인터넷에 근거 없이 떠도는 잘못된 운동법을 따라하는 경우도 많은데, 운동 때문에 더 망가지는 경우도 많습니다. 운동을 잘못하게 되면 안하느니만 못하기 때문에 병원에서 전문 의료진이 알려주는 제대로 된 운동법으로 꾸준히 실천하는 것이 중요합니다. 운동을 할 때 너무 욕심을 내면 오히려 독이 되기 때문에 절대 욕심을 부려서는 안 됩니다.

A. 아주 드문 몇 가지 경우를 제외하고는 대부분 수술 없이 비수술로 치료가 가능합니다. 허리디스크가 심하게 파열됐거나, 척추관의 공간이 많이 막힌 중증 척추관협착증 환자도 비수술로 치료가 가능합니다. 아주 드물게 수술이 꼭 필요한 경우(마미증후군 등)가 있지만, 그런 상황은 치료 중간에 감별이 가능하기 때문에 걱정하지 않으셔도 됩니다.
허리디스크는 디스크 파열로 수핵이 심하게 밀려나와도 오히려 흡수가 더 잘 되고 디스크로 인한 염증성 통증은 일반적으로 염증이 가라앉으면서 좋아지기 때문에 증상이 심한 정도와 관계없이 비수술로 치료가 가능합니다. 척추관협착증도 마찬가지로 척추관의 공간이 많이 막혀 있어도 척추 주변의 근육과 인대의 남아있는 기능을 최대치로 끌어올려주면 증상이 개선될 수 있습니다.
많은 분들이 수술할 정도로 심하다는데 비수술로 치료할 수 있는지 질문을 하시기도 합니다. 심하다는 것의 기준이 도대체 무엇일까요?
크게 두가지로 나눌 수 있습니다. 하나는 심한 통증, 두번째는 디스크가 심하게 많이 밀려나오거나 척추관이 심하게 많이 막힌 경우입니다.
일반적으로 수술을 하려는 가장 큰 이유는 통증 때문입니다. 하지만 통증이 아무리 심해도 환자가 참을 수만 있다면 수술을 급하게 해야 되는 의학적 사유에 해당하지 않습니다. 디스크가 심하게 많이 밀려나오거나 척추관이 심하게 많이 막힌 두번째 경우 또한 마미증후군처럼 심각한 근력저하나 대소변장애가 없다면 수술을 급하게 해야 할 의학적 사유가 되지 않습니다.
디스크가 심하게 많이 밀려나오거나 척추관이 심하게 많이 막히거나 통증이 아주 심하다고 하여 한방 비수술 치료의 증상 개선 가능성을 낮게 볼 이유가 전혀 없으며, 심하다는 것 자체가 수술을 서울러야 하는 이유가 되지도 않습니다.
한방 비수술 치료는 시간이 좀 더 걸리지만, 비수술 치료기간 동안 통증을 참는다고 해서 잘못되는 경우는 없습니다. 즉, 통증 때문에 별다른 문제가 발생하는 것은 아닙니다.
수술은 비가역적이라 한번 수술하면 원래 상태로 되돌릴 수 없기 때문에 신중하게 결정하는 것이 좋습니다.
743명의 척추관협착증 환자 중에서도 통증 없이 평균 60m 밖에 걷지 못하는 중증 척추관협착증 환자만을 선별. 입원치료 전과 치료종료 6개월 후 호전 상태를 관찰한 결과, 한방치료군의 경우 허리와 다리통증이 완화되고 통증 없이 걸을 수 있는 보행거리가 11배 이상 증가된 것으로 나타났습니다. 이는 척추관협착증이 수술 없이도 호전될 수 있다는 한방치료의 효과를 객관적으로 입증한 연구라 할 수 있습니다.
척추관협착증 발표 논문 내용 자세히 보기>
척추관협착증 비수술 재활치료후기, 심한 협착증으로 다리가 가늘어지고 걷지 못하는 환자
척추관협착증 비수술 재활치료후기, 세 마디의 심한 협착, 세 번의 수술을 권유 받은 환자
척추관협착증이 수술 없이도 치료 가능한 5가지 이유
협착증 환자가 반드시 매일 꼭 해야 되는 4가지 운동
척추관협착증 임상시험과 7년의 연구를 통해 밝혀진 재활치료 효과 국제학술지 논문 발표
척추관협착증에 재활치료를 꼭 받아야 하는 이유
척추관협착증 환자가 꼭 알아야 할 12가지
척추협착증 한방치료 효과를 못 믿으신다구요? 이 내용을 보시면 믿게 됩니다.
협착증 한방치료로 신경압박이 풀리는 눈에 보이는 증거가 있습니다.
척추전방전위증을 동반한 척추협착증, 수술 없이 치료하는 방법
척추관협착증의 진행을 막는 8가지 방법
허리디스크, 척추관협착증 MRI만 보고 진단하면 안 되는 이유
허리협착증이 아니라 디스크라구요
척추관협착증 한방치료비용과 실손보험 잘 이용하는 법
척추관협착증 환자가 치료 여부에 상관없이 운동은 무조건 해야하는 이유
더보기 >
보다 많은 환자분들과 건강정보를 공유하고자 개방형 게시판으로 건강상담을 운영하고 있습니다. 목과 허리 통증•디스크•협착증•교통사고•어깨•무릎 등 궁금하신 질문을 남겨주시면 전문의가 최대한 자세하게 답변 드립니다.