척추협착증증상은 다양하게 나타나는데, 초기-중기-말기 별로 나타나는 증상들이 모두 다릅니다. 척추관협착증 초기란 아직 협착증의 본격적인 증상인 걸을 때 통증이 나타나는 증상, 이를 의학적인 용어로는 신경성 파행이라고 하는데 이 신경성 파행이 아직 나오지 않은 단계를 말합니다. 그러다가 중기로 진행되면 본격적으로 걸을 때 아픈 증상이 나타나게 되며 협착증 말기가 되면 신경성 파행이 너무도 극심해져 거의 걷지 못하는 상태가 됩니다.



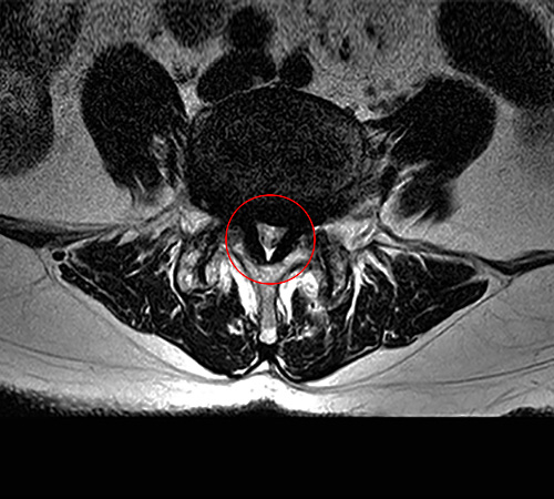
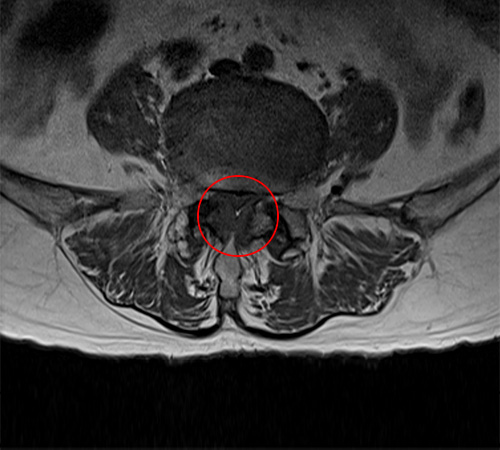
MRI 영상으로 봤을 때는 척추의 퇴행성 변화로 인해 황색인대가 부풀어오르기 시작하는 것을 협착증 초기로 봅니다. 그 다음 척추관 중앙의 공간이 30% 이상 막힌 것을 중기라고 판단하며, 척추관의 공간이 50% 이상 막혀서 심한 보행장애를 동반하는 것을 협착증 말기로 봅니다.
한 가지 중요한 것은 협착증 단계별로 나타나는 증상이 영상검사 기준과 맞지 않는 경우도 많습니다. 영상으로는 초기 단계로 보여도 말기에 가까운 증상이 나타나는 경우도 있고, 반대로 영상검사상으로는 말기에 가깝지만, 환자가 느끼는 증상이 심하지 않을 수도 있습니다. 그래서 협착증 치료를 할 때는 영상검사 결과와 환자가 느끼는 증상을 꼼꼼하게 비교하여 치료하는 것이 필요합니다.
많은 사람들이 협착증의 대표적인 증상이라고 하면 걸을 때 통증이 나타나는 것이라고 알고 있는데, 협착증 초기부터 이런 증상이 나타나지는 않습니다. 협착증 초기에는 일과 중 아무런 이유 없이 허리가 아팠다 안 아팠다 하며 고관절 부위에서 뻣뻣한 통증이 나타나고, 앉아있을 때 의자에 접촉하는 엉덩이 부위의 불편한 통증이 발생합니다. 더불어 아침에 일어날 때 허리가 뻐근한 증상이 간헐적으로 나타나며 오후만 되면 다리, 특히 무릎 아래 쪽이 뭔가 무겁고 나무토막처럼 뻑뻑해집니다. 이런 척추협착증증상들은 중기, 말기로 갈수록 점점 더 심해집니다.
협착증 초기에는 이러한 증상들이 매일 발생하는 것은 아니고 일주일에 몇 번씩 간헐적으로 나타나는데, 협착증이 진행될수록 발생 빈도가 점점 높아집니다. 일주일에 한두 번 아프던 것이 병이 진행될수록 일주일에 서너 번 아파지고, 허리가 굳기 시작해 오래 앉아있거나 누워있다 일어날 때 허리가 잘 펴지지 않게 됩니다. 또 초기에서 중기, 말기로 갈수록 한번 증상이 나타나면 더 오래가고, 아팠다가 다시 회복되는 시간도 길어집니다. 이렇듯 협착증 초기에는 통증이 있다 없다를 반복하니 별거 아닌 걸로 생각해 그냥 넘어가는 경우가 많습니다. 본인이 협착증 초기 단계인지 인지하지 못하는 것이죠.
주의할 것은 알려드린 증상들이 나타난다고 해서 다 협착증이라고 볼 수는 없습니다. 이런 증상들은 오래된 만성요통이나 오래된 퇴행성디스크 환자들에게도 나타날 수 있습니다. 디스크와 협착증은 퇴행성디스크를 오래 앓았고, 심한 퇴행성디스크를 오랫동안 관리를 잘못하면 협착증으로 진행되기 때문에 서로 연관성이 있습니다. 따라서 퇴행성디스크가 오래되고 심할수록 협착증과의 구분이 모호해집니다. 때문에 디스크를 오래 앓고 계시다면 협착증으로 진행되지 않도록 주의해야 합니다. 디스크와 협착증의 차이점에 대해서는 아래 영상을 참고하시길 바랍니다.
협착증 초기에서 중기로 진행되면, 걸으면 다리가 심하게 저리고 아픈 신경성 파행이 시작됩니다. 뿐만 아니라 밤에 잘 때도 불편함을 느끼게 됩니다. 왜냐하면 척추 주변 근육이 퇴행으로 인해 점점 더 굳어서 잘 때 한 자세를 유지하지 못하기 때문입니다. 근육이 굳어버리기 때문에 한 자세로 오래 누워있으면 뭔가 모르게 불편하고 통증이 느껴져 자는 동안 자꾸 자세를 바꾸며 뒤척이게 되죠. 또 협착증 중기가 되면 본격적으로 다리로 가는 신경이 눌리기 때문에 새벽에 다리에 자꾸 쥐가 나기 시작합니다. 단 앞서 알려드린 대로 사람마다 나타나는 증상이 다르기 때문에 같은 협착증 중기라 하더라도 새벽에 쥐가 나는 증상을 겪지 않고도 협착증 말기로 진행할 수도 있습니다. 협착증 말기가 되면 신경 압박으로 신경 기능도 굉장히 떨어져있기 때문에 근력 약화 및 근육 위축 등으로 오히려 다리에 쥐도 나지 않는 경우가 많습니다.
또한 앞서 협착증 초기 증상 설명 시 오래 앉아있거나 누웠다 일어날 때 허리가 굳어서 잘 안 펴진다고 말씀 드렸었는데, 협착증 중기가 되면 이렇게 허리가 잘 안 펴지고, 펴지는 데까지 시간이 계속 길어지며 통증도 더 길게 갑니다. 그리고 다리가 더 뻣뻣해지고 무거워지며 본격적으로 신경 압박이 시작되어 허리가 앞으로 굽기 시작합니다. 좀 더 정확히 말하자면, 사실 허리가 굽는 것이 아니고 허리를 굽혀야 편하니까 허리가 굽은 자세를 유지하는 것입니다.
퇴행이 매우 극심한 협착증 말기에는 여러 레벨이 심하게 퇴행되었기 때문에 협착증의 전형적인 증상인 보행 시 심한 통증이 나타납니다. 걸을 때 다리 감각이 떨어지고 힘이 빠지며, 통증으로 인해 정상적인 보폭이 불가능하고 좌우 균형이 맞지 않아 찔끔찔끔 걷게 됩니다. 또 통증 없이 연속으로 걷는 거리가 점점 줄어들게 됩니다. 예전에는 쉬지 않고 잘 걷던 거리를 계속 쉬어가고, 쉬어가는 횟수도 자꾸자꾸 늘어납니다. 협착증 말기 환자들에게 100m를 걸어보라고 하면 한숨부터 쉬는 게 바로 이런 이유에서입니다. 이게 점점 짧아져서 결국 한 걸음도 걷기 어려워지는 것이죠. 간혹 이럴 때 운동으로 협착증을 극복하겠다고, 통증이 나타나는데도 참고 걸으시는 분들이 있습니다. 그러나 이렇게 하면 오히려 척추협착증증상이 더 빨리 악화되니 절대 하지 마시길 바랍니다. 협착증 환자의 걷기 운동에 관한 내용은 아래 영상을 보시길 바랍니다.
협착증은 말기로 진행될수록 허리 근육이 더 굳기 때문에 협착증 초기, 중기에는 오래 앉아있거나 누워있다 일어날 때만 허리가 아팠다면, 말기에는 가만히 앉아만 있어도 허리가 굳어서 일어서기도 힘든 상태가 됩니다. 이 때문에 협착증 말기 환자분들은 아예 일어서는 걸 어려워하는 경우가 많으며 하지 근력 저하로 인해 한 걸음도 떼기 힘든 증상이 나타납니다. 결국 협착증의 끝은 통증과 더불어 다리의 감각이 떨어지고 근력이 약해져서 거동 자체가 불가능해지니, 휠체어에 의존하게 되는 경우도 많습니다.
그러나 문제는 많은 분들이 참다가 협착증 중기나 말기가 되어서야 치료를 받으러 오신단 겁니다. 협착증은 초기에 치료를 받아야 훨씬 더 오래 걸을 수 있고, 더 좋은 결과를 기대할 수 있습니다. 이와 관련해 조금 더 설명 드리자면, 저희 모커리한방병원이 척추관협착증 한방치료 효과를 객관적으로 입증하기 위해 미국 유명병원과 공동 연구를 진행하여 국제 학술지에 말기 협착증 환자의 치료 후 보행거리가 11배 이상 증가하였다고 하였습니다.
척추관협착증 한방치료로 통증 없이 보행가능 거리 11배 이상 증가-SCI급 국제학술지(JOPR) 발표 -

이게 평균적인 증가값이니까 상식적으로 생각해보면, 치료 전 조금만 걸을 수 있던 사람이 11배 증가한 거리를 걷는 것과 치료 전 많이 걸을 수 있던 사람이 11배 증가한 거리를 걷는 것은 결과에 굉장한 차이가 있다고 볼 수 있습니다. 그래서 협착증은 초기 치료가 중요한 것입니다. 모커리한방병원은 말기 협착증도 수술 없이 치료하지만, 그래도 가능하면 증상이 심하지 않을 때 치료를 받으시길 권유 드립니다.
모커리한방병원에서는 추간공협착증은 물론, 고령층의 말기 협착증도 수술 없이 재활치료로 치료하고 있습니다. 실제로 척추관이 심하게 막혀있지만 재활치료로 증상이 좋아진 환자 사례는 정말 많습니다. 아래 이런 환자분들의 영상을 모아놓았으니 꼭 보시길 바랍니다.
모커리 척추관협착증 ABCDE 한·양방 협진 재활치료법은 수술 없이 협착증을 치료하는 모커리 고유의 비수술 치료방법입니다. 한쪽 다리의 통증만 있는 초기 협착증부터 다리에 힘이 빠지고 몇 걸음 걷지 못하는 말기 협착증까지 ABCDE 척추관협착증 비수술 치료법으로 치료하고 있습니다. 모커리는 수준 높은 임상연구를 통하여 말기 협착증 환자가 ABCDE 재활치료로 통증 없이 걷는 거리가 11배 증가했다는 것을 과학적으로 객관적으로 증명하여 국제학술지에 논문을 발표했습니다.

척추관협착증 비수술 재활치료후기, 심한 협착증으로 다리가 가늘어지고 걷지 못하는 환자
척추관협착증 비수술 재활치료후기, 세 마디의 심한 협착, 세 번의 수술을 권유 받은 환자
척추관협착증이 수술 없이도 치료 가능한 5가지 이유
협착증 환자가 반드시 매일 꼭 해야 되는 4가지 운동
척추관협착증 임상시험과 7년의 연구를 통해 밝혀진 재활치료 효과 국제학술지 논문 발표
척추관협착증에 재활치료를 꼭 받아야 하는 이유
척추관협착증 환자가 꼭 알아야 할 12가지
척추협착증 한방치료 효과를 못 믿으신다구요? 이 내용을 보시면 믿게 됩니다.
협착증 한방치료로 신경압박이 풀리는 눈에 보이는 증거가 있습니다.
척추전방전위증을 동반한 척추협착증, 수술 없이 치료하는 방법
척추관협착증의 진행을 막는 8가지 방법
허리디스크, 척추관협착증 MRI만 보고 진단하면 안 되는 이유
허리협착증이 아니라 디스크라구요
척추관협착증 한방치료비용과 실손보험 잘 이용하는 법
척추관협착증 환자가 치료 여부에 상관없이 운동은 무조건 해야하는 이유
더보기 >
보다 많은 환자분들과 건강정보를 공유하고자 개방형 게시판으로 건강상담을 운영하고 있습니다. 목과 허리 통증•디스크•협착증•교통사고•어깨•무릎 등 궁금하신 질문을 남겨주시면 전문의가 최대한 자세하게 답변 드립니다.