본인의 질환을 협착증이라고 알고 있는데 주증상이 ‘한쪽 다리만 심하게 아프다’라고 한다면 이건 소위 말하는 진짜 중심성 척추관협착증이 아닌 추간공협착증일 가능성이 높습니다. 그런데 이 추간공협착증은 재활치료를 하는 저희 관점에서 보자면 척추관협착증에 비해 치료가 더 쉽고 빠르며 치료 후 결과도 훨씬 더 좋은 편입니다. 이에 모커리한방병원이 추간공협착증은 어떤 질환이며, 척추관협착증과 어떻게 다르길래 치료가 더 쉽고 치료 후 결과도 좋을 수 있는지에 대해 알려 드리겠습니다.
협착증증상에 대해 얘기할 때 흔히 말하는 ‘신경성 파행 증상’ 즉 걸으면 다리가 저리고 힘이 빠지며 쭈그려 앉아서 쉬면 좋아지고, 그래서 걷다 쉬다, 걷다 쉬다를 반복하는 증상이 아닌 ‘한쪽 다리만 심하게 저리고 아픈 증상’이 있다면 이건 척추관협착증이 아니라 추간공협착증이라고 하는 다른 종류의 협착증일 가능성이 높습니다.
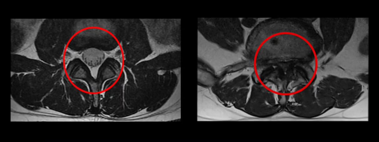
여기 MRI 화면을 보고 설명 드리겠습니다. 척추관협착증 환자의 MRI입니다. 척추를 이렇게 잘라서 보는 겁니다. 왼쪽의 정상적인 척추관에 비해 오른쪽의 협착이 있는 척추관은 척추뼈, 척추후관절, 인대, 디스크 등 척추구조물들의 퇴행성 변화로 인해 척추 신경다발이 지나가는 통로인 척추관이 좁아지면서 신경다발이 전체적으로 눌려 있는 모습입니다.

추간공협착증 환자의 MRI입니다. 척추를 이렇게 옆으로 잘라서 보는 겁니다. 척추 신경다발에서 갈라져 빠져 나온 신경가지 하나가 지나가는 구멍을 추간공이라고 하는데 여기 보이시는 것처럼 이 추간공이 좁아져 신경가지 하나가 눌려 있는 모습입니다.

즉, 쉽게 말해 척추관협착증과 추간공협착증은 주관이 좁아져 전체 신경다발을 누르느냐, 보조관이 좁아져 신경가지 하나를 누르느냐의 차이가 있습니다. 비유하자면 척추관협착증은 고속도로가 막힌 것이고 추간공협착증은 고속도로에서 빠져 나가는 출구가 막힌 것입니다. 그래서 사실 추간공협착증은 어떤 특정 신경가지 하나가 눌리는 것이기 때문에 디스크와 매우 비슷한 질환이라고 볼 수 있으며, 그래서 척추관협착증에 비해 통상적으로 재활치료가 훨씬 더 쉽고 치료 후 결과도 좋은 편입니다. 여러분들도 협착증과 디스크, 두 질환을 놓고 봤을 때 협착증보다 디스크 치료가 훨씬 더 쉽다는 걸 잘 알고 계실 겁니다.
사실 이 추간공협착증은 70대 이상의 고령층에서도 발생할 수 있지만 특히 젊은 층 20, 30, 40, 50대에서 많이 발생합니다. 그 중에서도 20, 30, 40대에서 발생하는 협착증은 거의 전부 추간공협착증이라 해도 무방합니다. 그런데 이런 젊은 층에서 발생하는 추간공협착증은 여러 마디가 아니라 한 마디만 퇴행된 경우도 많고, 전체적인 척추구조물의 퇴행 정도, 즉 디스크, 인대, 뼈 등의 퇴행 정도도 고령의 중심성 척추관협착증보다는 덜한 경우가 많습니다. 그리고 일단 나이가 젊기 때문에 근육의 상태도 좋고, 근육량도 많고, 고령층보다 근육이 제 기능을 훨씬 더 잘하고 있기 때문에 재활치료에 대한 반응도 훨씬 더 좋고 치료 후 결과도 훨씬 더 좋을 가능성이 높습니다.이에 대한 더 자세한 내용은 아래 영상을 참고 하시길 바랍니다.
그래서 특히 젊은 층의 추간공협착증은 완치의 가능성도 기대해볼 수 있는데요. 보통 퇴행성 척추질환은 완치라는 단어를 잘 쓰지 않지만, 특히 20, 30, 40, 50대 젊은 층의 추간공협착증은 치료 후 증상이 90% 이상 사라지고, 골프나 등산 등의 활동적인 운동까지도 가능할 정도로 증상이 좋아질 가능성이 있기 때문에 완치라는 단어를 사용하는 것입니다.
마찬가지로 고령층의 추간공협착증도 중심성 척추관협착증 보다 통상적으로 훨씬 치료효과가 좋습니다. 보통 이 추간공협착증은 디스크처럼 주로 한쪽 다리의 통증을 호소하기 때문에 환자분들이 ‘아프다’라는 얘기를 많이 하시는데요. 이렇게 아프다라고 말하는 증상이 진짜 중심성 척추관협착증에 많이 나타나는 걸으면 양쪽 다리가 저리고 힘이 빠지는 증상, 감각기능 저하 등의 증상보다 가벼운 증상입니다. 그래서 실제 환자를 치료하다 보면 아프다고 하는 증상이 일반적으로 다른 증상들에 비해 가장 먼저, 가장 빠르게 좋아집니다.
실제 저희 병원에서 추간공협착증 재활치료를 받은 환자분들의 두 가지 사례를 설명 드리겠습니다. 이분들은 심한 추간공 협착으로 인해 한쪽 다리의 심한 증상이 있었고 걷기 어려운 상태였습니다. 첫 번째 환자분은 69세로 전방전위증으로 인한 추간공협착증이 아주 심하게 발생한 분입니다. 여기 MRI를 보시면 심한 협착으로 인해 신경근이 눌려서 한쪽 다리에 마비가 오고 거의 걷지 못하는 상태가 되어 대학병원에서 유합술을 권유 받으셨습니다.
두 번째 환자분은 83세로 이 분도 마찬가지로 MRI를 보시면 전방전위증을 동반한 추간공협착증으로 한쪽 다리를 뗄 수가 없어서 걸음을 걷기가 어려워 동네 정형외과를 갔지만 동네 병원에서는 치료가 불가능하니까 큰 병원으로 빨리 가서 치료를 받으라는 권유를 받으셨습니다.
이런 환자분이 얼마나 빨리, 또 얼마나 잘 회복할 수 있는지 이 환자분의 치료후기 영상을 꼭 보시길 바랍니다.
이렇게 한쪽 다리만 아픈 추간공협착증이 양쪽 다리가 많이 저린 중심성 척추관협착증에 비해 치료가 더 쉽고, 치료 후 결과도 더 좋은 이유에 대해 설명 드렸습니다. 한 가지 아셔야 할 점이 이건 저희 모커리한방병원 같이 재활치료를 하는 병원의 입장에서 설명 드리는 겁니다. 그런데 수술하는 분들의 입장에서는 두 질환 중 어떤 질환이 수술이 더 쉽느냐에 대해서 저희와 의견이 많이 다를 수 있다는 것 알아두시길 바랍니다.
그래서 협착증인데 한쪽 다리만 심하게 아픈 증상을 갖고 계시다면 너무 걱정 마시고 재활치료를 한번 받아보시길 바랍니다. 그리고 저희 모커리한방병원은 중심성 척추관협착증, 즉 양쪽 다리가 저리고 힘이 빠지며 몇 걸음 걷지 못하는 심한 말기협착증도 수술 없이 재활적인 방법으로 치료하고 있으니 이런 말기 협착증 환자분들도 희망을 잃지 마시고 재활치료를 받아보시길 권해 드립니다.
모커리한방병원에서는 추간공협착증은 물론, 고령층의 말기 협착증도 수술 없이 재활치료로 치료하고 있습니다. 실제로 척추관이 심하게 막혀있지만 재활치료로 증상이 좋아진 환자 사례는 정말 많습니다. 아래 이런 환자분들의 영상을 모아놓았으니 꼭 보시길 바랍니다.
모커리 척추관협착증 ABCDE 한·양방 협진 재활치료법은 수술 없이 협착증을 치료하는 모커리 고유의 비수술 치료방법입니다. 한쪽 다리의 통증만 있는 초기 협착증부터 다리에 힘이 빠지고 몇 걸음 걷지 못하는 말기 협착증까지 ABCDE 척추관협착증 비수술 치료법으로 치료하고 있습니다. 모커리는 수준 높은 임상연구를 통하여 말기 협착증 환자가 ABCDE 재활치료로 통증 없이 걷는 거리가 11배 증가했다는 것을 과학적으로 객관적으로 증명하여 국제학술지에 논문을 발표했습니다.

척추협착증 전방전위증 근육재활치료후기, 2번의 수술로도 좋아지지 않은 방사통, 마비 증상
척추협착증 디스크 수술 후에도 풀리지 않는 다리마비 오른쪽 까치발X 왼쪽 족하수(풋드랍) 근육재활치료후기
허리디스크와 척추협착증으로 인한 발목마비, 족하수증상, 극심한 방사통 근육재활치료후기
심한 협착증으로 다리가 가늘어지고 걷지 못하는 환자 재활치료후기
협착증과 전방전위증으로 다리에 마비가 오고 걷지 못하는 환자 재활치료후기
세 마디의 심한 협착, 세 번의 수술을 권유 받은 환자 재활치료후기
척추관협착증이 수술 없이도 치료 가능한 5가지 이유
협착증 환자가 반드시 매일 꼭 해야 되는 4가지 운동
척추관협착증 임상시험과 7년의 연구를 통해 밝혀진 재활치료 효과 국제학술지 논문 발표
더보기 >
보다 많은 환자분들과 건강정보를 공유하고자 개방형 게시판으로 건강상담을 운영하고 있습니다. 목과 허리 통증•디스크•협착증•교통사고•어깨•무릎 등 궁금하신 질문을 남겨주시면 전문의가 최대한 자세하게 답변 드립니다.