척추전방전위증 근육재활치료 사례, 걸을 수도 없고 앉기도 어려웠던 환자분의 재활치료 후 10년간의 이야기

척추전방전위증으로 걸을 수도 없고 앉기도 어려웠던 환자분의 MRI 상태 및 증상은?

이 환자분은 2014년 지금부터 약 10년 전에 치료가 끝나신 분입니다. 이 환자분의 당시 상태에 대해 말씀 드리면 일단 허리와 엉덩이, 다리가 너무 심하게 아파서 걸으면 첫 걸음부터 힘들다고 하셨습니다. 그리고 앉기도 불편하니까 항상 눕고만 싶은데 누워도 아프고 심지어 대변 조차도 보기 힘들어 일상생활 자체가 불가능한 상태가 3개월 이상 지속됐습니다.

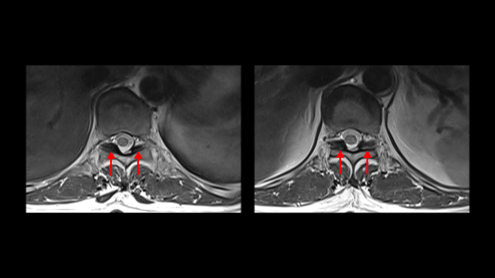
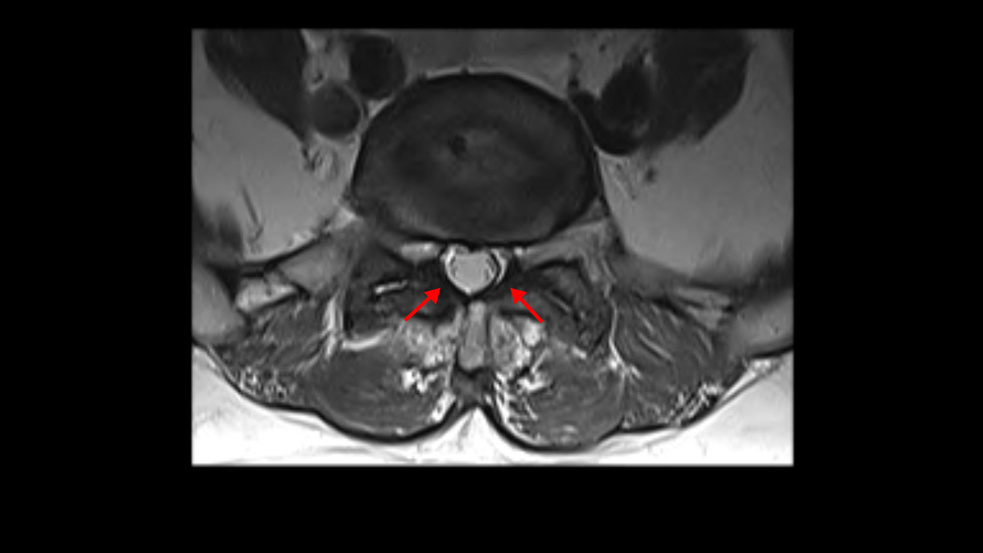
우선 이 환자분의 X-ray를 보면 5번 1번에 전방전위증으로 인한 불안정성이 있습니다. 척추가 불안정하므로 전방전위로 뼈가 밀려 나간 정도가 MRI에 보이는 것보다 X-ray 굴곡상태에서 보는 게 훨씬 더 심해 보입니다. 또 척추 여러 마디에 퇴행성 병변이 보입니다.

먼저 5번 1번에 척추관 내의 황색인대의 골화 현상이 보이고

후관절의 퇴행도 심해 보입니다.

흉추 두 마디에서도 역시 황색인대의 골화 현상이 보입니다.

그리고 허리 4마디에 퇴행성 허리디스크가 있습니다.

이렇게 여러 마디의 척추가 안 좋은 상태에서 대학병원에서 수술 권유를 받았지만 비수술 치료를 위해 다른 환자분의 추천으로 저희 모커리한방병원에 내원하셨습니다.

그런데 저희는 수많은 영상을 통해 전방전위가 있던, 협착이 있던, 디스크가 있던 어떤 퇴행성 병변이 있던지 간에 허리 주변 근육이 정상적이고 기능을 잘하면 훨씬 덜 아프거나 안 아프다고 지속적으로 말씀 드리고 있습니다. 이런 이유 때문에 협착증, 디스크, 전방전위증 등의 척추질환이 수술 없이 재활적인 치료가 가능한 것입니다.

이 환자분의 치료는 지금부터 약 10년 전에 약 4주 정도의 입원 재활치료가 진행되었습니다.

척추전방전위증은 수술 없이도 근육 재활치료를 통해 충분히 좋아질 수 있습니다.

이 환자분은 자세를 변경할 때마다 심한 통증이 있고 또 아침에 일어나면 허리가 뻣뻣하게 굳어서 허리와 엉치가 아프던 것이 일어나서 조금씩 움직이다 보면 몇 시간 지나서 풀리던 전형적인 퇴행성 척추질환 환자들에게 보이던 특징이 있습니다. 이것을 디스크성 통증이라고도 하고 협착증의 증상이라고도 하지만 우리는 이런 증상들을 만성적인 근육문제 및 근육의 기능저하에 의한 통증으로 봅니다. 근육재활치료가 잘 돼서 근육의 기능이 좋아지면 자세 변경 시의 통증이 사라지고 아침에 느꼈던 허리가 굳고 뻣뻣하면서 아픈 증상이 사라지는 것입니다. 또 신경 눌림 증상과 같은 다리저림도 허리 주변 근육이 정상화 되면 좋아지는 것입니다.

그런데 이 환자분보다 더 연세가 많고 MRI 상태가 훨씬 더 심하게 안 좋은 분들도 많습니다. 그런데 저희가 계속 드리는 얘기지만 뼈가 밀려 나가 있고, 척추관이 막혀 있고, 디스크가 탈출해서 신경이 눌려 보여도 척추 주변의 기능이 정상적이면 안 아픈 사람들이 너무나도 많습니다. 이 분들이 MRI로는 분명 심하게 아파 보여야 하지만 안 아픈 이유는 근육에 크게 문제가 없고 근육기능이 정상적이기 때문입니다. 그래서 저희가 근육재활치료를 하고 있는 것입니다. 이분보다 훨씬 더 고령에 MRI 검사결과가 안 좋은 분들도 성공적으로 근육재활이 끝나면 증상이 좋아지게 됩니다. 그래서 이런 환자분들의 재활치료후기 영상들을 저희가 꾸준히 올리고 있으니까 그 영상들도 꼭 보시길 바랍니다.

이 환자분의 재활치료 후 결과는 어떻게 되었을까요? 그리고 치료가 끝난 후 약 10년이 지난 지금은 어떻게 지내고 계실까요? 이렇게 척추전방전위증으로 걸을 수도 없고 앉기도 어려웠던 환자분의 치료 후 결과가 어떻게 되었을지 궁금하시다면, 아래 썸네일을 클릭해 모커리한방병원 홈페이지에 로그인하신 후 치료 후 결과 영상을 꼭 보시길 바랍니다.

이 환자분의 치료 후 결과 영상은
여기를 클릭하세요

모커리 척추전방전위증 ABCDE 한·양방협진 재활치료법

모커리 척추전방전위증 ABCDE 한·양방 협진 재활치료법은 수술 없이 전방전위증을 치료하는 모커리 고유의 비수술 치료방법입니다. 척추전방전위증은 통증을 일으키는 원인인 디스크나 협착증 증상을 치료하는 것이 핵심인 만큼 모커리에서는 정확한 원인을 찾아 통증을 제거하는 비수술 치료를 진행하고 있으며, 유합술을 권유 받은 뼈가 2단계 이상 밀려나간 척추전방전위증도 ABCDE 치료법으로 수술 없이 치료할 수 있다는 것을 연구하여 학술지 등에 발표하고 있습니다.

전문의가 직접 알려드리는
모커리 건강상담

보다 많은 환자분들과 건강정보를 공유하고자 개방형 게시판으로 건강상담을 운영하고 있습니다. 목과 허리 통증•디스크•협착증•교통사고•어깨•무릎 등 궁금하신 질문을 남겨주시면 전문의가 최대한 자세하게 답변 드립니다.

모커리한방병원 온라인 진료예약